Medoff Wrist Fixation System

These images were derived from the Medoff Wrist Fixation System Promotional CD ROM. This page was neither requested nor compensated for, but I have posted it because it looks quite promising.

The Hardware...
Dorsal Buttress Pin
L-Plate
Radial Pin Plate
Dorsal Pin/Washer Construct
Dorsal Pin Plate


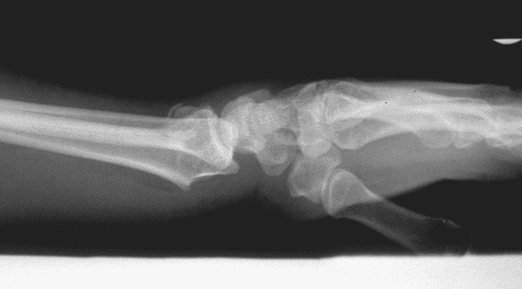
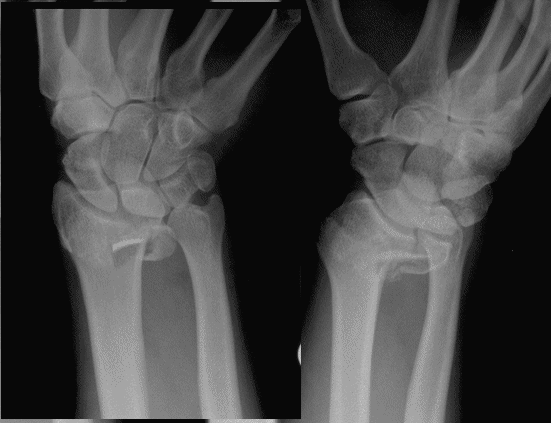
Case 1 Injury
Case 1 Injury
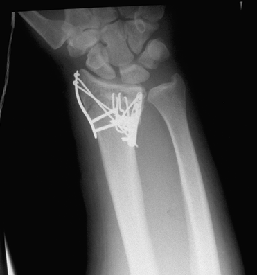
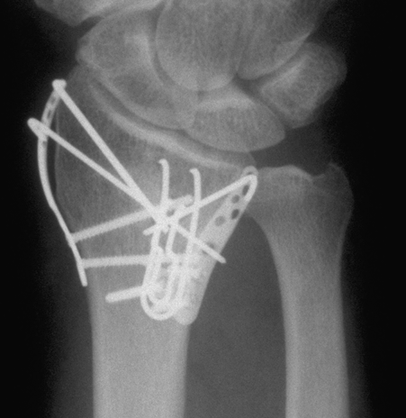
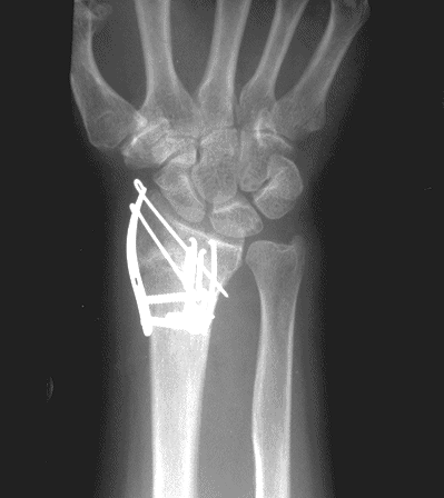
Case 1 Postop
Case 1 Postop

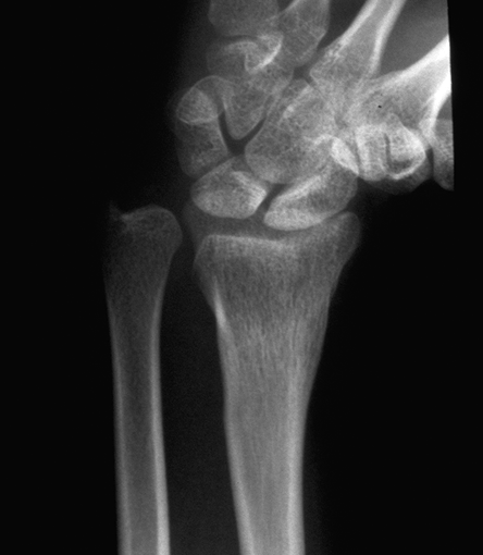
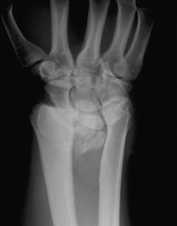
Case 2 Preop
Case 2 Preop
Case 2 - closed reduction
Case 2 Postop
Case 2 Postop

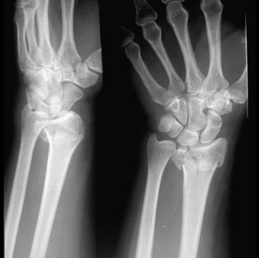
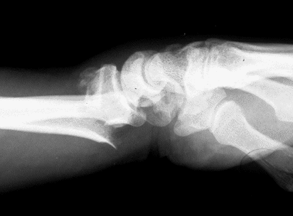
Case 3 Preop
Case3 Preop
Case 3 CT
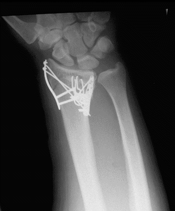
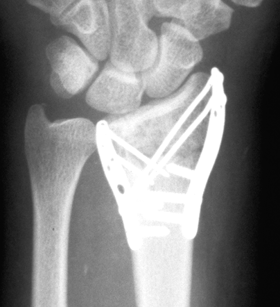
Case3 Postop
Case3 Postop
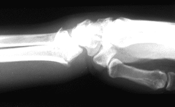
Case 3Clinical Postop
Case 3 Clinical Postop
Case 3 Clinical Postop
Case 3 Clinical Postop

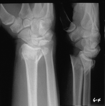
Case 4 Preop
Case 4 Preop
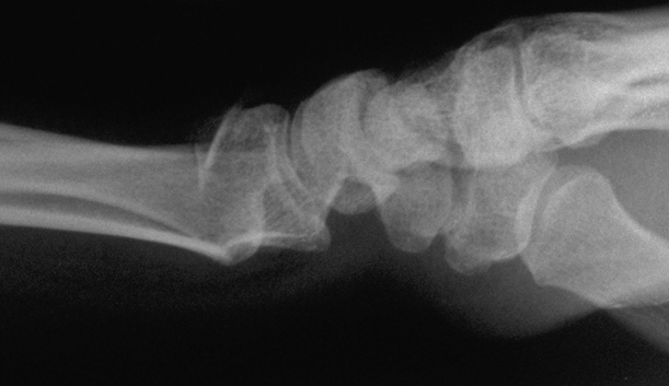
Case 4 CT
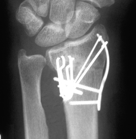
Case 4 Postop
Case 4 Postop
Case 4 Postop

Corrective Osteotomy

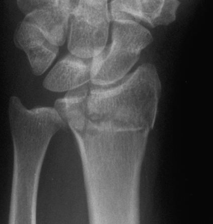
Case 5 Preop
Case 5 Preop
Case 5 Postop
Case 5 Postop


More Fractures...

Case 6 Preop
Case 6 Postop
Case 6 Postop


Case 7 Preop
Case 7 Preop
Case 7 Postop
Case 7 Postop

Case 8 Preop
Case 8 CT
Case 8 Postop
Case 8 Postop


Image Source:
Trimed Inc.
25768 Parada Dr.
Valencia, CA 91355
USA

VOX 800-633-7221
FAX 805-254-8485