Clinical Example: Dupuytren Distal Interphalangeal Joint Needle Fasciotomy

Dupuytren contracture usually involves the metacarpophalangeal and proximal interphalangeal joints, but occasionally affects the distal interphalangeal joints. This is usually accompanied by proximal interphalangeal joint involvement. This is almost always a lateral rather than a central cord, and may present as a spiral cord, the neurovascular bundle superficial just proximal to the distal interphalangeal joint.

The functional impact of this is that it contributes to the fingertip catching on things like a hook. Isolated interphalangeal joint contractures in the context of hyperextensible metacarpophalangeal joints allow patients to defer evaluation until the contracture is severe.

The most common method of treating this is with fasciectomy, but needle fasciotomy may be effective. Collagenase has been used for this, but is an off-label application.

As with needle release or collagenase treatment of the proximal interphalangeal joint, recurrence is expected: these minimal procedures should be considered a temporizing step with expectations of partial improvement.

The following are examples of percutaneous needle fasciotomy for a variety of contractures involving the distal interphalangeal joint. Portals proximal and/or distal to the distal interphalangeal joint flexion creases are used, some bilaterally.

These are presented to illustrate the diversity of even this subset of Dupuytren disease. None had prior treatment.

Marking legend:
. = Needle portals
o = depot steroid injection
x = portal planned, but not used.

The technique is essentially the same as that for isolated PIP joint release, as shown here.
Click on each image for a larger picture


Case 1.
40 year old right handed man with several year history of
minimal bilateral Dupuytren disease. The left small finger
has reached a point of functional impairment from combined
proximal and distal interphalangeal joint contractures.
Highslide Highslide Highslide
Needle Portals
Highslide
End of Procedure
Highslide Highslide Highslide

Case 2.
26 year old left handed man with a five year
history of left small finger Dupuytren disease
involving the proximal and distal interphalangeal
joints.
Highslide Highslide
End of Procedure
Highslide Highslide

Case 3.
60 year old left handed man with a 3 year history
of left small Dupuytren disease.
Highslide Highslide
End of Procedure
Highslide Highslide
Partial recurrence three years later.
This was treated with a repeat release.
Highslide Highslide
End of Redo Procedure.
Highslide Highslide

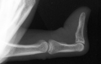
Case 4.
57 year old right handed man with a 22 year
history of Dupuytren disease affecting his
left small finger.
Highslide Highslide
Planning of portals (dots) and nodule steroid
injection sites (circles).
Radiograph of affected finger, 90° contracture.
Highslide Highslide
End of Procedure. Minimal improvement, but the
joint felt rubbery to passive stretch, and so he
was treated with a night time static extension
splint. He had progressive improvement.
Highslide Highslide
18 months later, improvement persists.
Highslide Highslide
Despite this, recurrence is likely due to
early age of onset and ectopic disease:
unusual Ledderhose with toe nodules (left);
unusual knuckle pads at the DIP joints (right)
Highslide Highslide

Case 5.
This 50 year old gentleman noticed Dupuytren disease of his left hand
five years ago. He now has bilateral contractures, worse on the right.
Highslide Highslide Highslide
End of Procedure
Highslide Highslide Highslide

Case 6.
This 71 year old man has a 15 year history of right small finger Dupuytren disease, which had
become noticeably more contracted in the last six months.
Highslide Highslide Highslide Highslide
End of Procedure
Highslide Highslide Highslide Highslide
Recurrence four years later treated with repeat release.
Highslide Highslide Highslide Highslide
End of redo procedure
Highslide Highslide Highslide Highslide
Six weeks after second procedure.
Highslide Highslide Highslide Highslide

Case 7.
This 63 year old right handed man has an eight
year history of Dupuytren disease of the right
small finger.
Highslide Highslide
End of Procedure.
Highslide Highslide

Case 8.
This 85 year old right handed woman has a 13 year
history of bilateral disease, worse on the right.
Highslide Highslide
End of Procedure.
Highslide Highslide

Case 9.
This 67 year old right handed man has a 20 year
history of Dupuytren disease of his left hand.
Highslide Highslide
End of Procedure.
Highslide Highslide

Case 10.
This 68 year old left handed man has a 20 year
history of Dupuytren disease of his left hand.
Highslide Highslide
End of Procedure.
Highslide Highslide

Case 11.
This 71 year old right handed man has a 10 year
history of right small finger disease.
Highslide Highslide
End of Procedure.
Highslide Highslide
Continued improvement, now five months postop.
Highslide Highslide

Case 12.
This 72 year old man had a one year history of right ring finger Dupuytren
contracture, progressing mostly in the last six months. He had left small
finger Dupuytren surgery 16 years ago, and had unknown right palm surgery
over 20 years ago.
Highslide Highslide Highslide
End of Procedure.
Highslide Highslide Highslide

Case 13.
This 81 year old man has had bilateral disease
for 3 years, stable for the last two years.
Highslide Highslide
Planned portals.
Highslide
End of Procedure.
Highslide Highslide

Case 14.
This 79 year old right handed man has a five year
history of bilateral Dupuytren disease, worse on
the right hand.
Highslide Highslide
Planned portals.
Highslide Highslide
End of Procedure.
Highslide Highslide

Case 15.
This 72 year old right handed man has a 3 year history of progressive
left small finger Dupuytren disease. His finger catches on everything.
Highslide Highslide Highslide
End of Procedure.
Highslide Highslide Highslide

Case 16.
This 62 year lod right handed man has had
bilateral disease for 5 years, worse on the left.
Highslide Highslide
End of Procedure.
Highslide Highslide

Search for...
Dupuytren Distal Interphalangeal
Case Examples Index Page e-Hand home