|
The proximal and distal radioulnar joints allow the
forearm to rotate in pronosupination, which twists the
plane running the length of the forearm through the two
bones roughly perpendicular to the longitudinal axis of
the forearm but constrained to the ulna, which does not
itself rotate. The forearm bones are normally matched in
length and are stabilized by interosseous ligaments in
the mid forearm as well as capsuloligamentous complexes
at each end. Disruption of this length relationship
places abnormal load and results in degenerative changes
at the proximal, distal or both radioulnar joints, as
demonstrated by the following two patients. The two current treatment options for these patients are either reconstruction of the forearm interosseous membrane, which is unpredictable, or conversion to a one bone forearm, which would limit function by losing forearm pronosupination. |
| Click on each image for a larger picture |
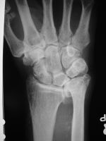
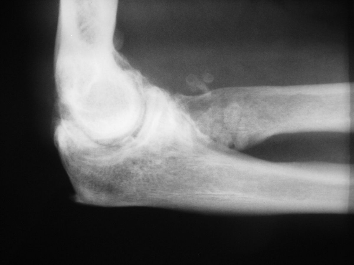
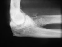
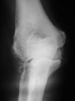
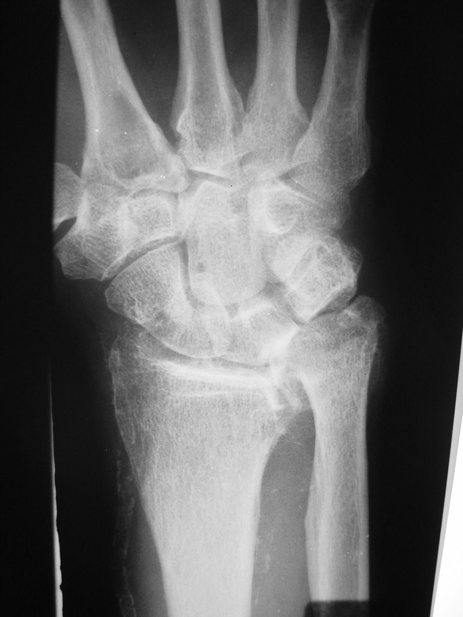
| Case 1. This 80 year old man developed wrist and elbow pain years after radial head excision for fracture. Radiographs show proximal migration of the radius resulting in valgus instability of the elbow, radiocapitellar impingement and distal ulnar impaction. This pattern of longitudinal forearm disruption, proximal radial fracture and dislocation of the distal radioulnar joint, is referred to as the Essex-Lopresti fracture dislocation. |

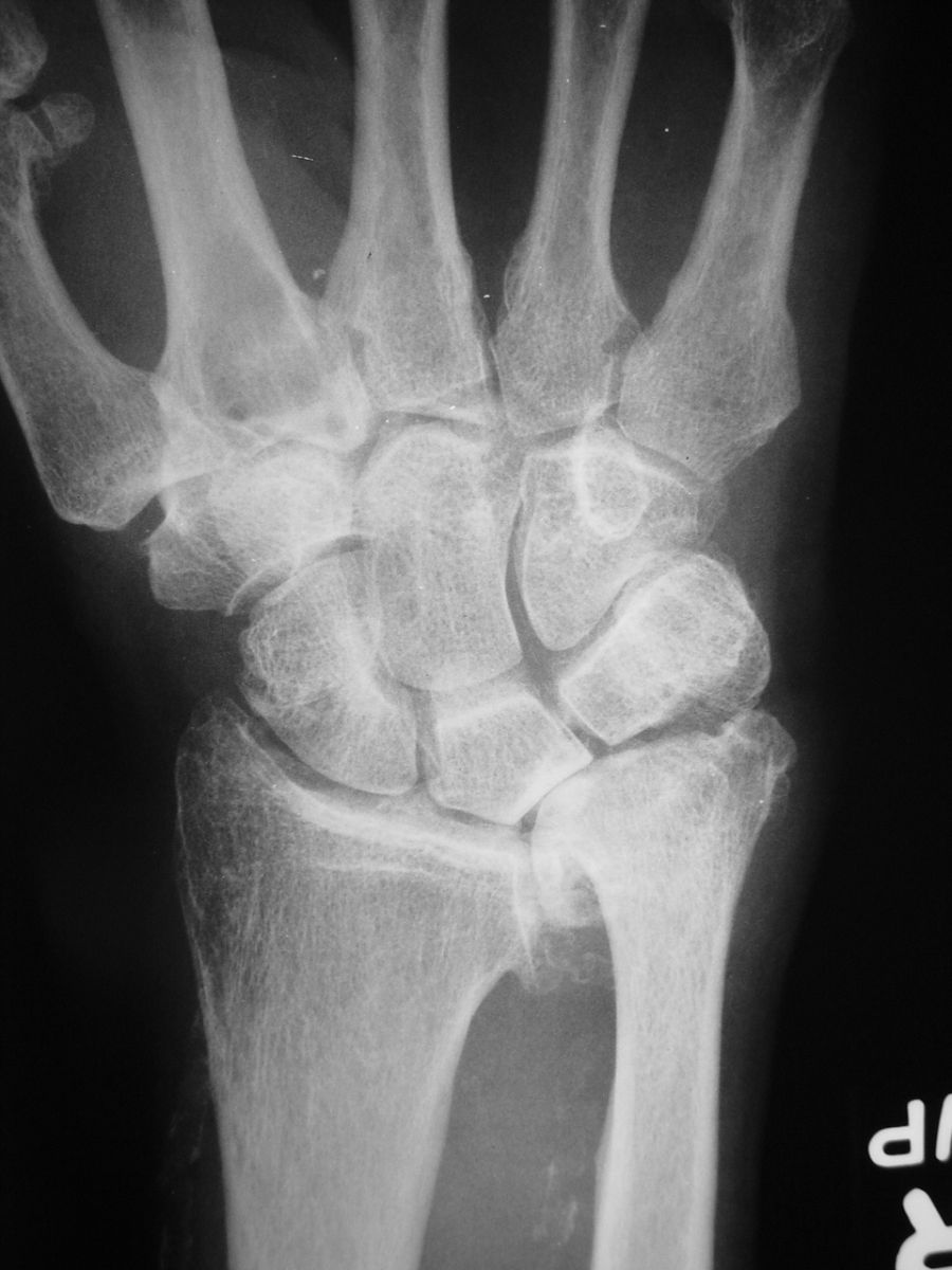
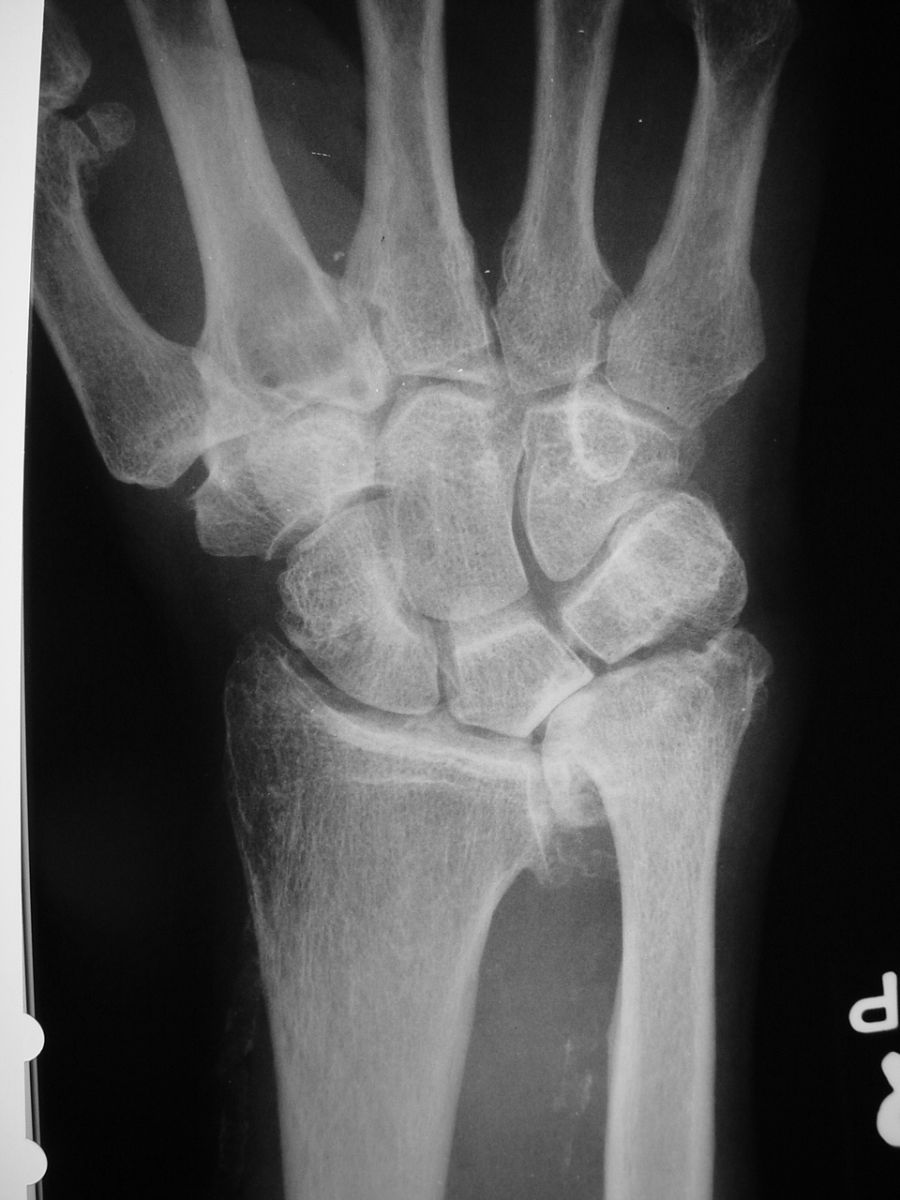
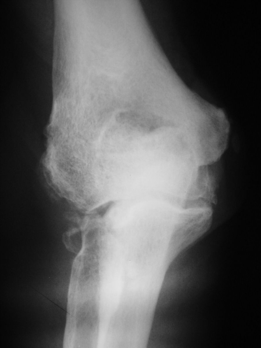
| Case 2. This 74 year old man presented with elbow pain years after wide excision of the central ulna and forearm radiation for a malignant tumor. The abnormal load on the radiocapitellar joint has resulted in degenerative changes. |
|
Search for... radial humeral impaction Essex Lopresti fracture dislocation longitudinal forearm instability
|
Case Examples Index Page | e-Hand home |