Clinical Example: Nail Contour Correction After Eponychial Tumor Excision

Nail deformities may result from growths changing the contour of the germinal matrix. These may appear permanent, but normal nail plate contour can be restored if the mass effect is corrected without damaging the germinal matrix. These five cases demonstrate the recovery potential of the nail bed in this circumstance.
Click on each image for a larger picture


Case 1.
Mucous cyst. Mucous cysts (distal interphalangeal joint synovial cysts; myxoid cysts) commonly result in longitudinal concavity of the nail plate from pressure on the germinal matrix.
Highslide
Typical secondary contour/
Highslide

Highslide
These are usually filled with clear colorless gelatinous material with an appearance similar to mucous, but technically is thickened synovial liquid, not mucous. The superficial location allows the diagnosis to be confirmed with transillumination.
Highslide

Highslide
Joint debridement is curative. Here, closure of the eponychial splitting incision is shown.
Highslide
Late result with restoration of normal eponychial and nail plate contour.
Highslide
Case 2.
Nail deformity from subungual bone tumor. This patient has multiple hereditary exostoses.
Highslide

Highslide

Highslide

Highslide

Highslide

Highslide

Highslide

Highslide

Highslide
Case 3.
Another mucous cyst, more centrally located. Note both the nail deformity and the thin overlying skin. Repeated cyst drainage may lead to joint infection.
Highslide

Highslide

Highslide

Highslide
Late result with normalization of nail fold contour.
Highslide

Highslide
Case 4.
Mucous cyst with contour abnormality and nail plate syrface irregularity.
Highslide

Highslide
Exposure.
Highslide
Late result.
Highslide
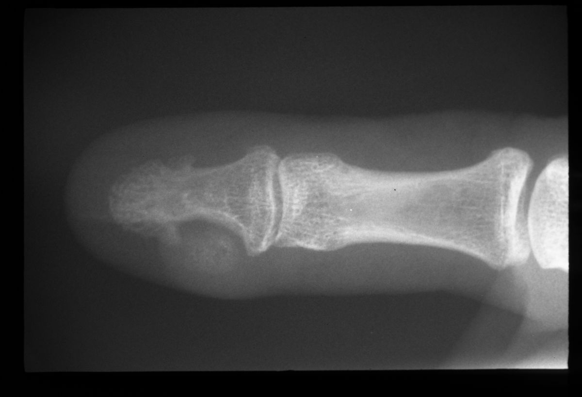
Case 5.
Distal phalanx osteochondroma. This painless unusual benign tumor resulted in a severe nail plate concavity.
Highslide

Highslide

Highslide

Highslide

Highslide
Excision.
Highslide
Restoration of normal nail plate contour.
Highslide

Highslide

Highslide
Search for...
fingernail deformity
eponychial tumor

Case Examples Index Page e-Hand home