| Glomus tumors are often
subungual, and may involve the bone as a cortical radiolucent
impression with mild cortical sclerosis. They lie deep to the nail bed
and, once exposed, are easily separated from both the undersurface of
the matrix and the bone. They may be excised by splitting the nail bed,
but this may result in a split nail deformity if extended into the
germinal matrix. A lateral approach, shown here, allows full access to
the undersurface of the entire nail matrix. Another case is shown here. |
| Click on each image for a larger picture |
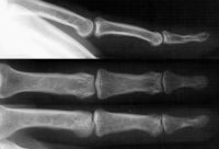
| Xrays of a painful glomus
tumor of many years duration, showing a local impression extending
through the dorsal and palmar cortices of the distal phalanx. |
| Exposure through a lateral
approach, lifting the entire nail complex en bloc. |
| Appearance three months
postop. |
| Bone defect filling in some
at this time. |

| Dorsal cortical impression
suggesting bilobed tumor. |
| Ill defined bluish
discoloration of the proximal nail bed. |
| Lateral incision. It is important to plan this incision to leave 3 or 4 millimeters of lateral eponychial skin to avoid breaching the lateral eponychial nail recess, which may result in a chronic skin sinus. |
| Tumor excised, exposing the
bilobed dorsal cortical impression. |
| Appearance 3 months postop. |

| Pinpoint tenderness at the
proximal border of the germinal matrix is marked with a small circle.
An eponychial splitting incision was used, but the lateral incision
shown above would have been an equally appropriate. |
| Tumor excised, forceps
pointing to the area it was found, at the distal collateral ligament
attachment. Because of possible involvement, the collateral ligament
was also excised. |
|
Search for... Glomus tumor
|
Case Examples Index Page | e-Hand home |