Clinical Example: Radical flexor synovectomy hand and forearm for granulomatous synovitis

Flexor synovitis occasionally is due to  fungal or mycobacterial infection, producing a granulomatous reaction. These present as a slowly progressive process, worsening over months. There may be a history of a finger puncture injury preceeding symptoms. There is typically less local tenderness than would be expected for the degree of swelling, stiffness and pain. Local steroid injections are ineffective and may be followed by rapid clinical worsening. Cure requires thorough synovectomy and culture directed antibiotic treatment. 
Click on each image for a larger picture


This man presented with a one year history of progressively worsening right hand pain, swelling and loss of flexion.  Symptoms began one month after a  right ring finger puncture wound in a marine setting. He had been given a trigger finger steroid injection months earlier with no relief.
Highslide
The right palm and forearm were full, but not tender. Fingtips could only be brought to within  2" of the distal palmar crease. No fever, no lymphadenopathy. Rheumatologic tests including sedimentation rate were normal.
Highslide
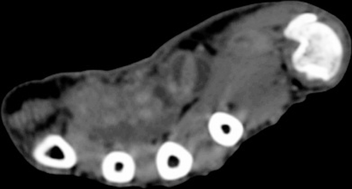
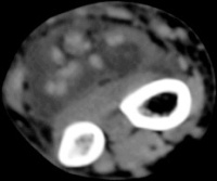
The radiologist  interpreted his MRI as normal, but these views show bulky, edematous flexor synovitis.
Highslide Highslide Highslide Highslide Highslide Highslide Highslide
A radical flexor tenosynovectomy was performed for the presumed diagnosis of synovitis from atypical infection. The initial extensile  here is planned  from the mid palm to the mid forearm.
Highslide

Highslide

Highslide
Bulky, edematous synovitis involved all flexor tendons.
Highslide

Highslide
Palmar exposure was extended to include a distal "Y" shaped incision. Here, the synovecomy is complete.
Highslide
Closure.
Highslide
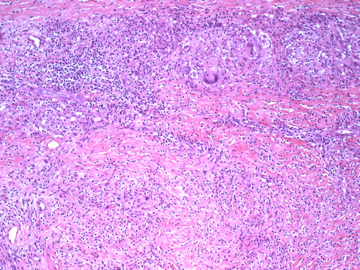
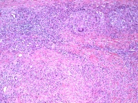
Histology confirmed granulomatous synovitis. Unfortunately, no organisms were identified, even in long term culture for fungus and mycobacteria. This confirms the need for complete synovectomy.
Highslide

Highslide

Highslide

Highslide
Videos
Step by Step Surgery 2 Weeks Postop 6 Weeks Postop
Search for...
atypical mycobacterium hand
granulomatous synovitis hand

Case Examples Index Page e-Hand home