Clinical Example: Proximal Interphalangeal Joint Flexion Contractures after Dislocations and Reflex Sympathetic Dystrophy

Reflex sympathetic dystrophy is most often  dealt with as a painful problem complicating recovery. It may resolve or become chronic with or without treatment. Active RSD has components of vasomotor instability, pain, and avoidance. Structural changes, such as arthrofibrosis and soft tissue atrophy may develop and persist.
Click on each image for a larger picture


Four years ago, this patient  sustained closed middle finger PIP dislocation a ring finger intraarticular middle phalanx base fracture. She developed painful reflex sympathetic dystrophy. PIP and DIP joint stiffness developed during the painful phase and remained  after resolution of all other RSD related issues.
Highslide
Range of motion was limited: middle PIP fixed at 90 degrees; ring PIP fixed at 80. The middle DIP is stiff at 0 degrees; the ring DIP ranges only from 0 to 20 degrees hyperextension.
Highslide
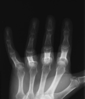
Standard AP radiographs fail to demonstrate PIP joint anatomy because of contractures.
Highslide
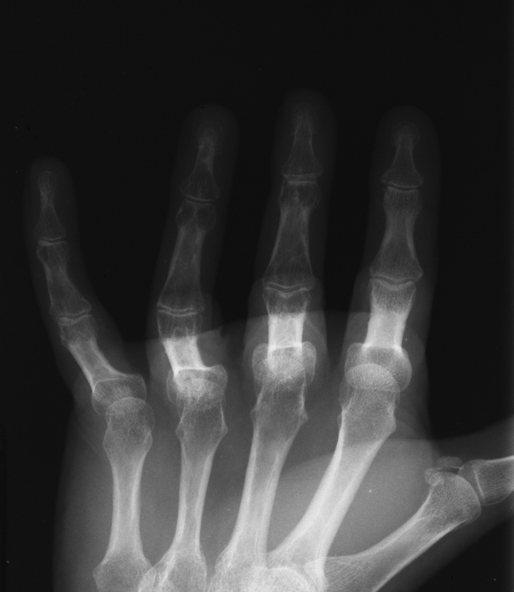
Modified AP views taken with the middle phalanges flat on the radiograph plate show preservation of joint anatomy.
Highslide
Oblique view.
Highslide
Lateral view shows PIP joint space narrowing, more pronounced in the ring finger. They also show periarticular osteoporosis of the middle and ring fingers compared to  the index and small - impressive in that this is four years post injury and the patient uses the fingers normally within the constraints imposed by contractures.
Highslide
Search for...
RSD
RSD stiffness
Case Examples Index Page e-Hand home