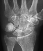
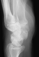
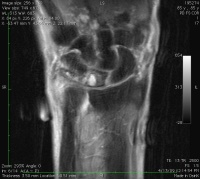
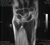
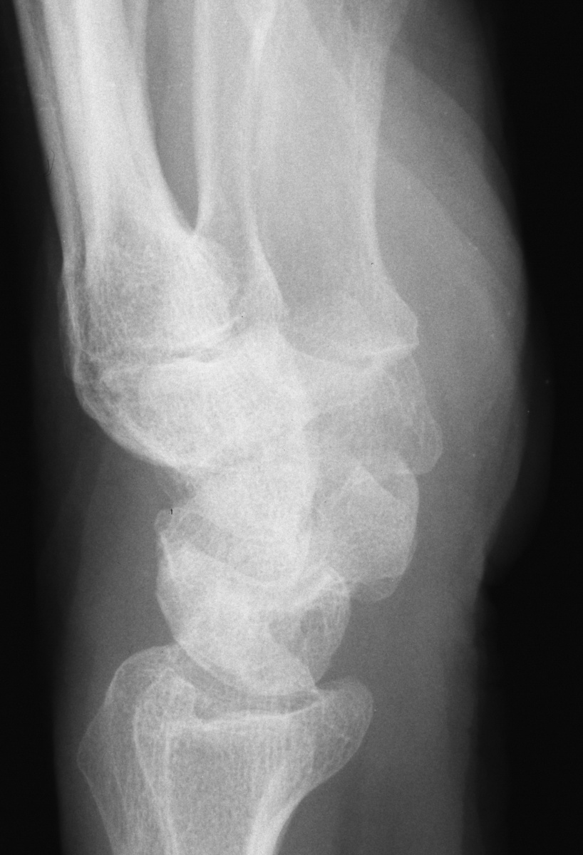
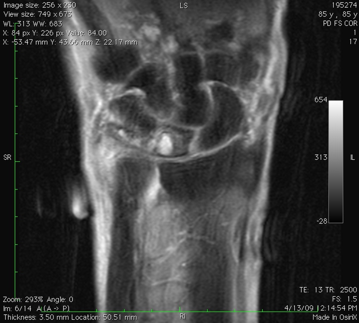
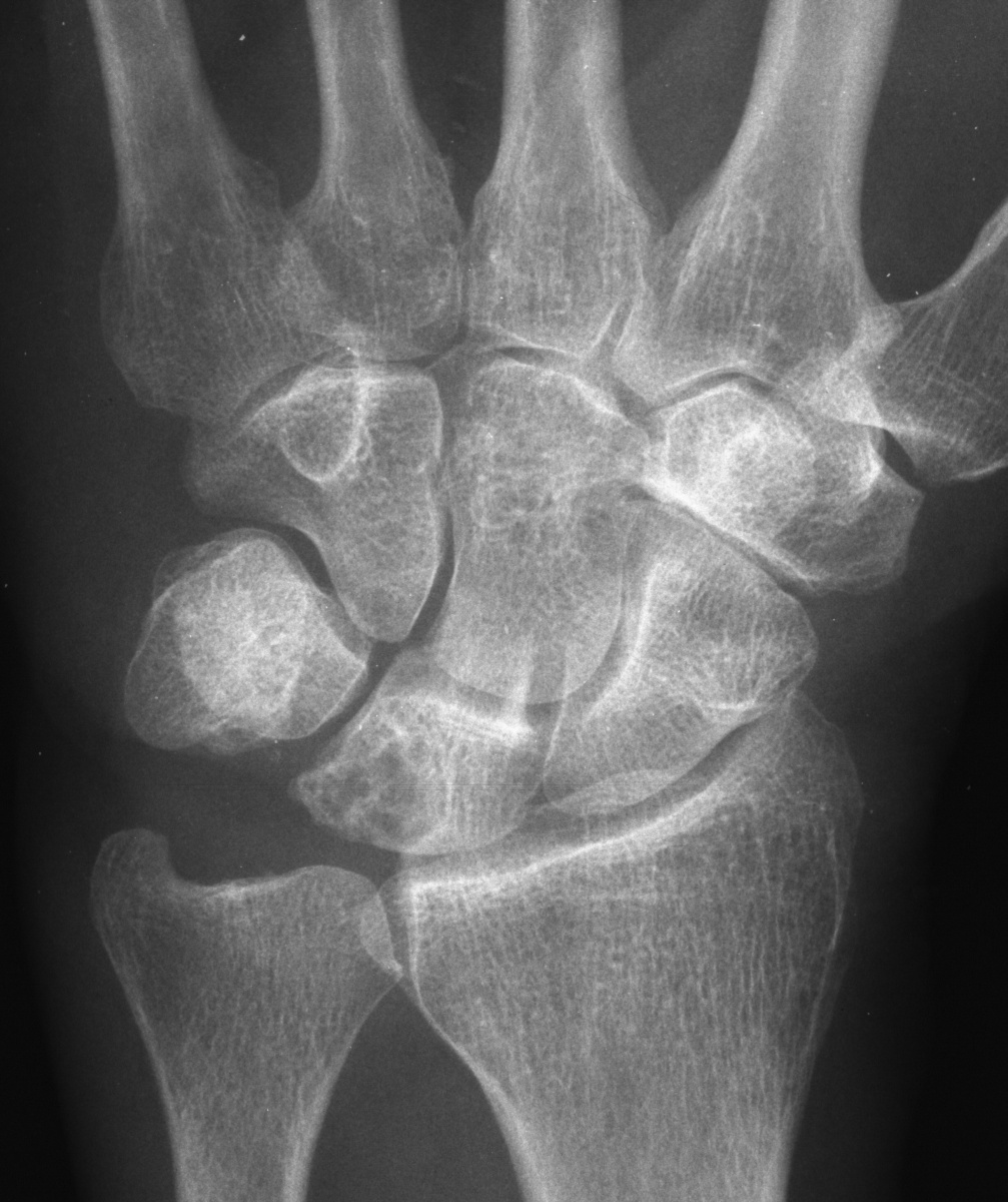
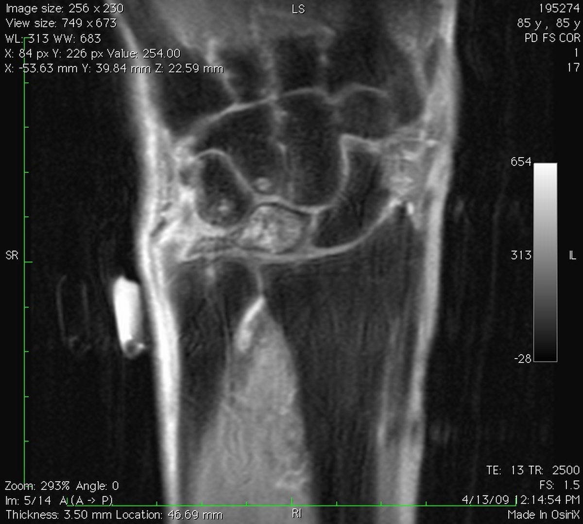
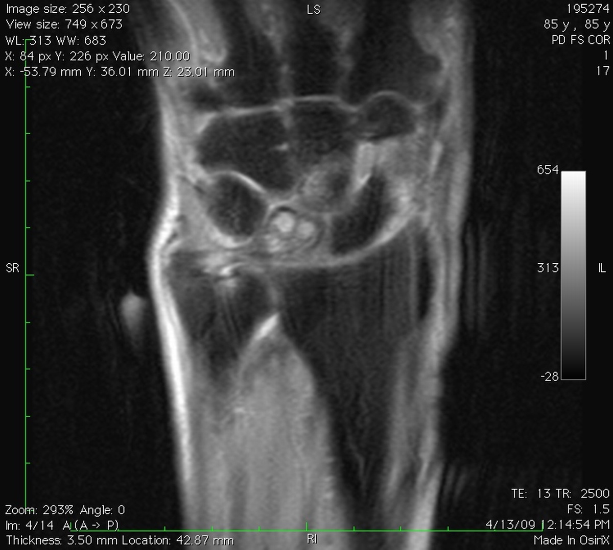
Clinical Example: Lunate Cyst

This imaging series was obtained for evaluation of a one month history of painful pronosupination in an active 85 year old man whose daily exercises include pushups.
Click on each image for a larger picture



Highslide

Highslide

Highslide

Highslide

Highslide

Highslide

Highslide

Highslide

Highslide

Highslide
Search for...
lunate cyst

Case Examples Index Page e-Hand home