| Basal joint arthroplasty is
a common operation and the variations in technical approaches are a
common topic of conversation for most hand surgeons. Below is a brief
description of a technique for suspension ligament reconstruction. This
is one of many possible techniques. |
| Click on each image for a larger picture |
| Summary: after
trapeziectomy, a slip of abductor pollicis longus tendon is passed
around the base of the index metacarpal and sutured to itself proximal to the metacarpal base. |
| In this case, a vena cava
ligature passer was modified to create the path around the index
metacarpal base. |
| This technique allows a
strong distal force vector, and care mist be taken to avoid
overdistraction. |
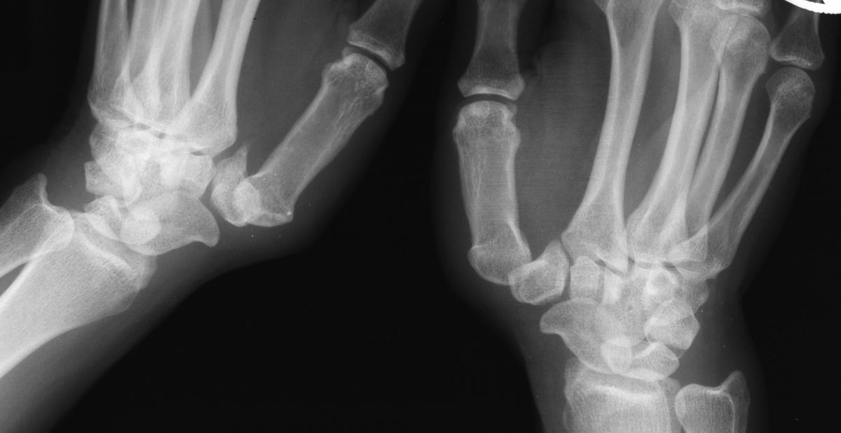
| Preop basal joint stress
views showing subluxation and subsidence: |
| 8 months postop. The
trapeziectomy defect height is still maintained. |
| 18 months postop, MRI for
an unrelated diagnosis demonstrates the tendon loop path in the
intermetacarpal space. |

| Search
for... basal joint arthroplasty LRTI |
Case Examples Index Page | e-Hand home |