| Fusion is a common
treatment for pain and deformity from thumb metacarpophalangeal joint
arthritis. There are many techniques for this, including hardware
variations of pins, wires, plates, screws, and either open or
arthroscopic exposure. The joint is usually positioned at an angle
between 0 and 15 degrees of flexion, depending on the degree of basal
joint adduction and surgeon's preference. These cases demonstrate only
a few of the many ways to achieve arthrodesis fixation with plates and
screws. |
| Click on each image for a larger picture |
| This patient had chronic
pain and instability from an old radial collateral ligament rupture
followed by both metacarpophalangeal and sesamoid metacarpal arthritis |
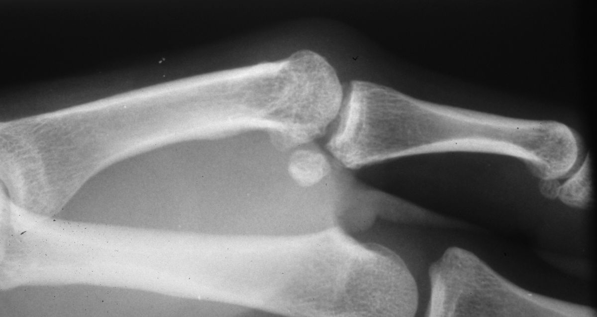
| The Synthes mini fragment
system was used, with a lag screw across the fusion site and
sesamoid excision. |
| Although the patient healed
uneventfully, the screws seem excessively large for these bones. |

| Smaller plates and screws
from the Lorenz craniofacial fixation system were used for this MCP
fusion. |
| Low profile, but possibly
too small in terms of rigidity. Despite this concern, the patient did
well. |

| These examples show the need to match the hardware to the job. One problem is that rigid plates can have screws which are relatively too large, while plates for small diameter screws can have inadequate rigidity. One solution is to use screws alone. |
| The standard screw technique is to obtain provisional fixation with fracture clamps, drill with a calibrated drill bit, and then place screws. An alternate technique is to obtain provisional fixation with multiple K-wires, and then replace the K-wires one at a time with screws. In some cases, an injection needle may be used as a drill after bending the tip to central axis of the needle, as shown below. |
| The tricky part is matching sizes, as the drills are measured in millimeters, K-wires in thousanths of an inch, and needles by the American Piano Wire Gauge. Here's a handy table listing comparing the best match of K-wires and needles to the drill sizes found in the Synthes modular hand tray: |
| Screw (mm) |
Drill (mm) |
K-wire (mm) |
K-wire (.001") |
Needle gauge |
Needle (mm) |
Needle (.001") |
| 1.0 |
0.76 |
0.71 |
28 |
22 |
0.71 |
28 |
| 1.3 |
1.0 |
0.89 |
35 |
20 |
0.90 |
36 |
| 1.5 |
1.1 |
1.1 |
45 |
19 |
1.1 |
42 |
| 2.0 |
1.5 |
1.4 |
54 |
17 |
1.5 |
58 |
| 2.4 |
1.8 |
1.6 |
62 |
15 |
1.8 |
72 |
| In this case, 0.045"
K-wires were used for provisional fixation: |
| These were then replaced,
one at a time, with 1.5mm screws. Because of the entry angles, the
countersink bit was used to reduce screw head prominence. |
| Final Result |

| Search
for... thumb fusion hardware |
Case Examples Index Page | e-Hand home |