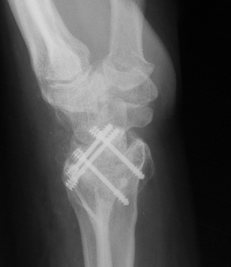
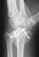
Clinical Example: Radioscapholunate Fusion and Triquetrum excision for Radiocarpal Arthritis

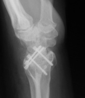
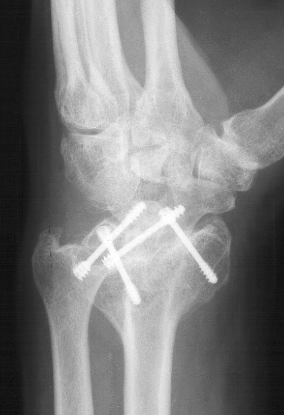
Radioscapholunate fusion is a treatment option for radiocarpal arthritis following distal radius fracture or associated with rheumatoid arthritis. Range of motion is usually less than half of normal following this procedure. Technical modifications to improve range of motion include distal scaphoid excision, or as in this case, triquetrum excision and excision of distal ulnar articular surface to manage ulnolunate abutment. There are a variety of fixation techniques. In this case, crossed Herbert screws were used: dorsal carpal bone to palmar radius and dorsal radius to palmar carpal bone.

 
Click on each image for a larger picture

   
Preop, wrist splint tan line, two years after intraarticular distal radius fracture:
Image
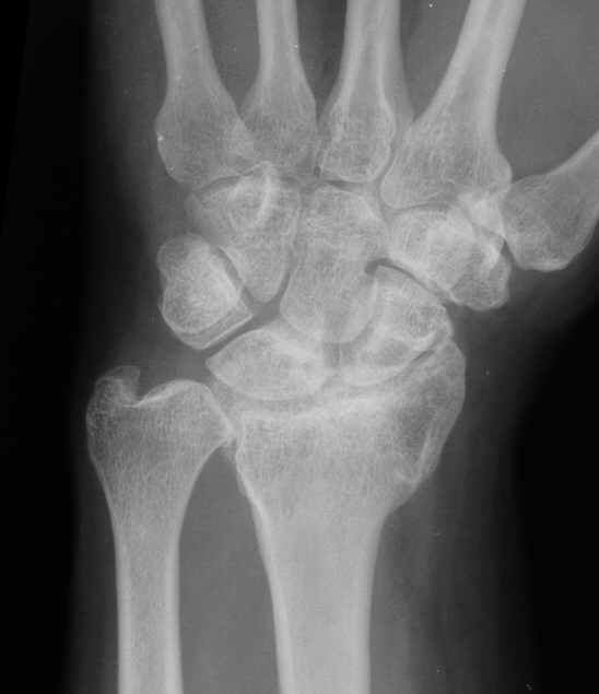
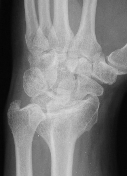
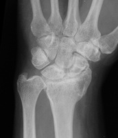
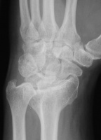
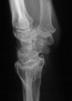
Preoperative Xrays:
Image Image Image
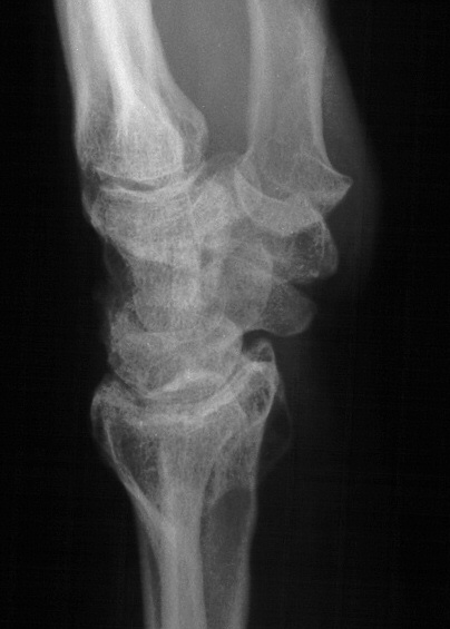
Three months postop :
Image Image Image
Search for...
Radioscapholunate fusion

Case Examples Index Page e-Hand home