| The most common joint position issues after palmar fasciectomy for Dupuytren's Contracture are persistent/recurrent flexion contracture and persistent Boutonniere contracture. Occasionally, liberal palmar release of the proximal interphalangeal joint and aggressive extension splinting can lead to hyperextension of that joint, a difficult management problem because the treatment of swan neck generally aims to prevent full extension and the goal of fasciectomy is to restore full extension. |
| Click on each image for a larger picture |
| Dupuytren's, left hand before surgery: |


| Fasciectomy: |






| Six months postop: |




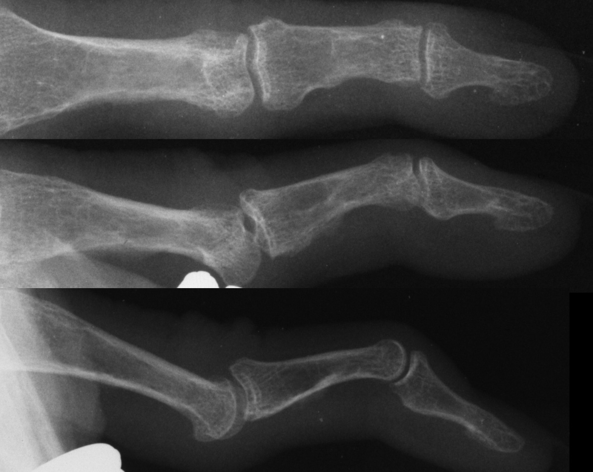
| Five years postop, with painless snapping swan neck deformity, clinically and radiographically: |





| Range of motion five years postop: soft snapping, loss of full PIP flexion, rubbery DIP flexion contracture. Palmar prominence of the proximal phalanx head due to hyperextension may be confused with a Dupuytren's nodule: |
| Click for Video: |

|
Search for... Swan Neck and Dupuytren's
|
Case Examples Index Page | e-Hand home |