| Thumb polydactyly usually results in a zig-zag radial/ulnar deviation deformity due to angulation of the affected joint surfaces which persists after simple ablation of the extra thumb parts. A more cosmetic reconstruction can be achieved using a combination of osteotomy and collateral ligament reconstruction. Common late issues are lack of IP motion and small thumb tip, which becomes more of an issue with more distal levels of duplication (lower Wassell type). |
| Click on each image for a larger picture |
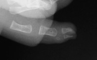
| Case 1. Wassell IV duplication of the proximal and distal phalanges, with characteristic deviation of the thumbs away from each other at the MCP and toward each other at the IP joints. This was corrected by metacarpal head narrowing, opposing closing wedge osteotomies of the metacarpal and proximal phalanx and collateral ligament reconstruction using parts from the deleted digit. |
![]() |
![]() |
![]() |
![]() |
![]() |
![]() |
![]() |
![]() |
![]() |
![]() |
![]() |
![]() |
![]() |
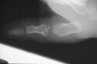
| Case 2. Similar approach for a more complex pattern, transferring the metacarpal closing wedge to the proximal phalanx opening wedge. |
![]() |
![]() |
![]() |
![]() |
![]() |
![]() |
![]() |
![]() |
![]() |
![]() |
![]() |
![]() |
![]() |
![]() |
![]() |
![]() |
![]() |
|
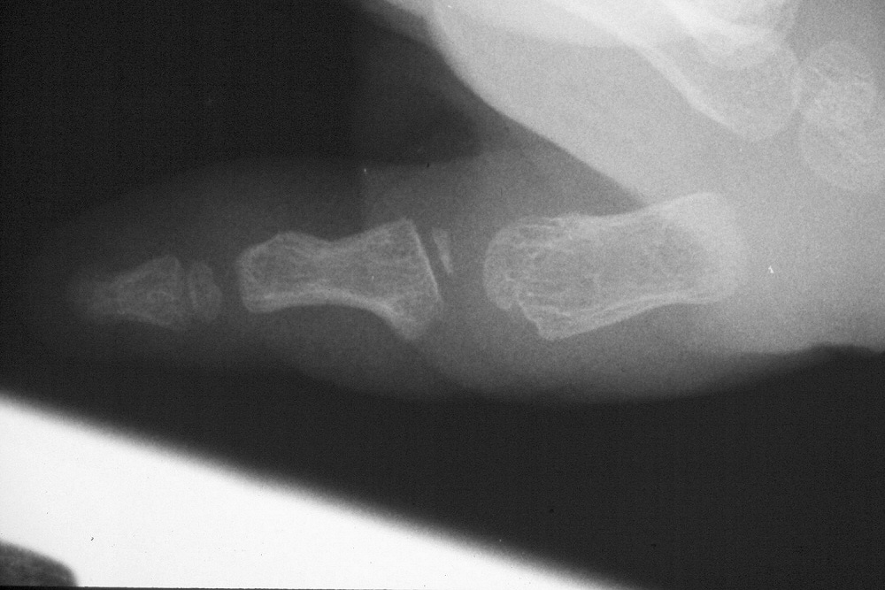
| Case 3. Wassell II duplication of the distal phalanges, reconstructed with proximal phalanx head narrowing, closing wedge osteotomy and radial collateral ligament reconstruction from the deleted segment. |
![]() |
![]() |
![]() |
![]() |
![]() |
![]() |
![]() |
![]() |
![]() |
![]() |
![]() |
![]() |
![]() |
![]() |
![]() |
![]() |
|
|
Search for... Thumb polydactyly
|
Case Examples Index Page | e-Hand home |