Clinical Examples: Finger distraction lengthening with palatal expansion clamp and intercalated bone graft

These are two cases of traumatically shortened fingers lengthened with paired palatal expansion clamps used to construct miniature progressive skeletal distraction followed by intercalary bone grafting

 
Click on each image for a larger picture

   
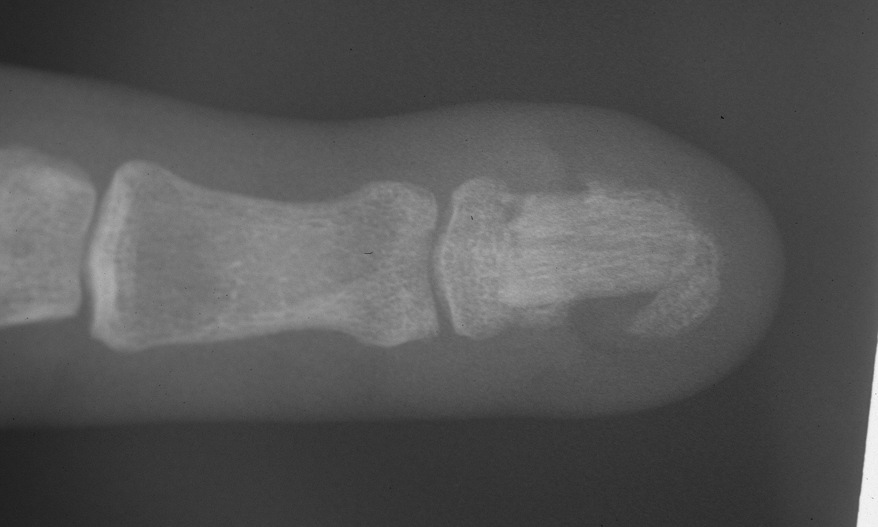
Case 1. This patient had an unstable small fingertip following a saw injury which resulted in loss of the central half of the distal phalanx of the small finger.
Image Image

Image Image Image

Image Image

A palatal expansion clamp with a turnbuckle mechanism was used to design a progressively lengthening external fixator to restore length of the distal phalanx before reconstruction with a bone graft, here shown on a plastic sawbone model. This device is available at http://www.greatlakesortho.com and other orthodontic supplier retailers (no commercial interest).

Image Image Image

Construction of the fixator:

Image Image Image Image

Initial position:

Image Image Image

After two weeks of distraction:

Image Image Image

Bone grafting:

Image Image Image

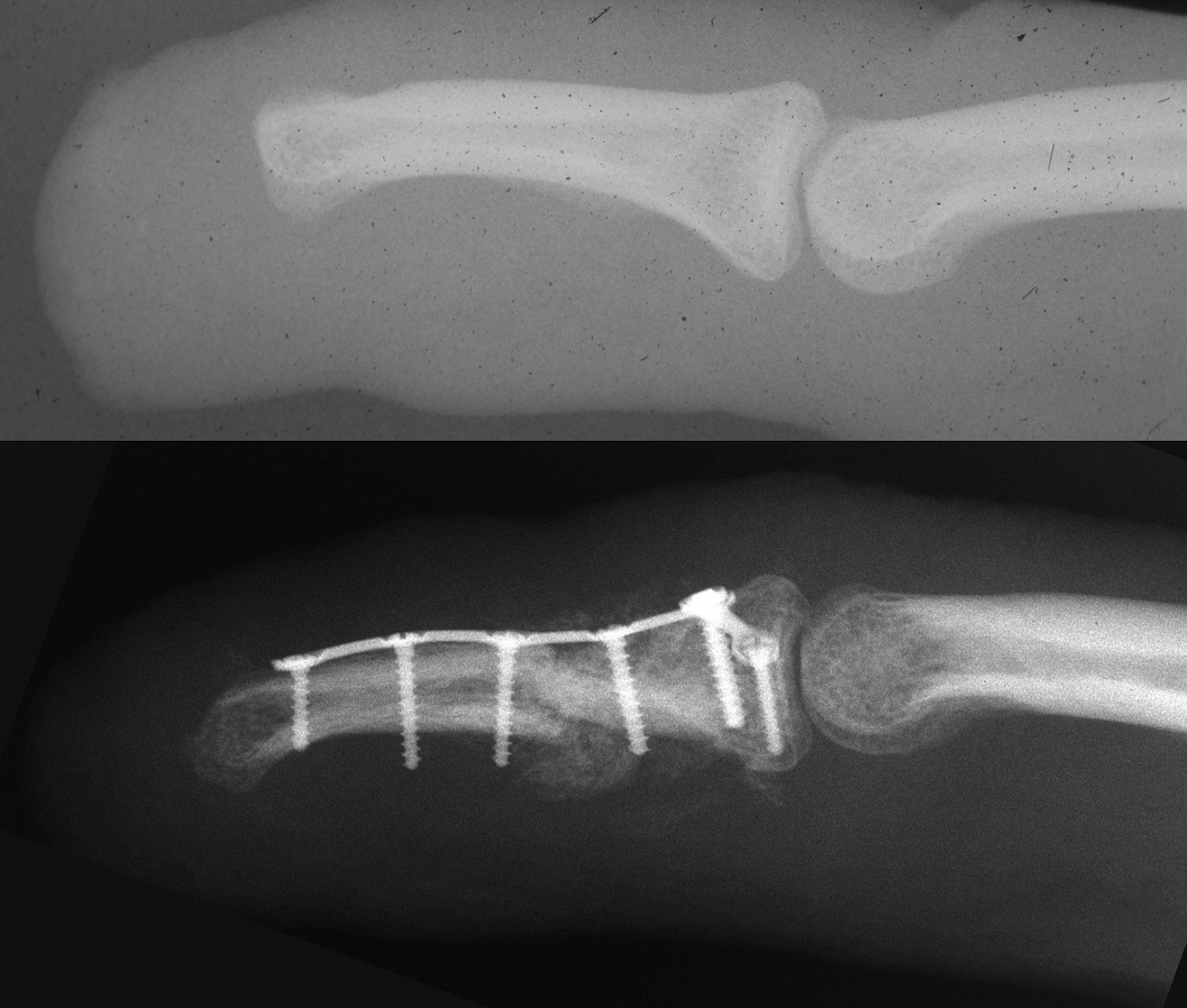
Final result:

Image Image Image

Image Image Image

Image Image



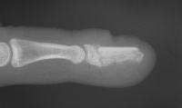
Case 2. Middle phalanx lengthening with proximal metaphyseal osteotomy, distraction and bone graft:

Image Image

Image Image

Image Image

Image Image

Image Image
Search for...
Finger distraction lengthening

Case Examples Index Page e-Hand home