Clinical Examples: Phalangeal head exostosis variations

Rarely, periarticular bone growth involves the interphalangeal joints of the fingers. These cases demonstrate some of the variations.

 
Click on each image for a larger picture

   
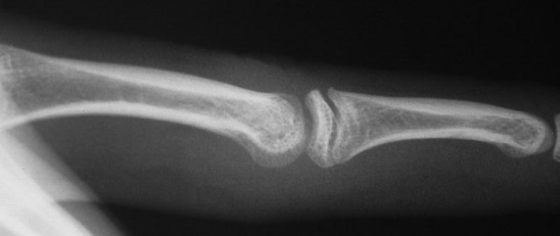
Case 1. 14 year old boy with radial prominence and ulnar deviation of the middle finger proximal interphalangeal joint. Painless, no history of trauma.
Click for larger image
 
Click for larger image
 
Radiographs showing well circumscribed calcification at the  proximal phalanx collateral ligament origin, 10 degrees of lateral angulation. 
Click for larger image
 
Click for larger image
 
This was treated with simple excision. Pathology was consistent with mature bone.
Click for larger image
 
Click for larger image
 
Case 2. Mass developing after a lateral dislocation of the proximal  interphalangeal joint of a 34 year old woman. 
Click for larger image
 
Click for larger image
 
Click for larger image
 
Radiographs were consistent with either a united collateral ligament avulsion fracture or ossiification of a parosteal hematoma.
Click for larger image
 
This was treated with simple excision and collateral ligament repair to local tissues.
Click for larger image
 
Click for larger image
 
Late result.
Click for larger image
 
Click for larger image
 
Case 3. 21 year old woman with pain developing in a congenitally angulated thumb.
Click for larger image
 
Radiographs show a juxtaarticular ossification with  subchondral cyst formation of the bone interface with the lateral phalangeal head and lateral angulation of the proximal phalanx articular surface.
Click for larger image
 
Click for larger image
 
This was treated with excision of the mass and corrective closing wedge osteotomy of the proximal phalanx.
Click for larger image
 
There was no articular cartilage on the pseudojoint, with  arthritic type reactive changes.
Click for larger image
 
Corrected alignment
Click for larger image
 
Intraoperative fluoroscopy. The mass:
Click for larger image
 
Osteotomy planning: proximal pin parallel to the proximal joint line, distal pin parallel to the distal joint line: 
Click for larger image
 
Pins were used as saw blade alignment guides:
Click for larger image
 
Osteotomy closed:
Click for larger image
 
Intraosseous wire passed through pin tracts, interfragmentary pin:
Click for larger image
 
Click for larger image
 
Late result:
Click for larger image
 
Click for larger image
Search for...
articular phalanx exostosis
phalanx osteotomy

Case Examples Index Page e-Hand Home