Clinical Example: Distal Interphalangeal Joint Arthroplasty with reversed Ascension carbon implant arthroplasty

These two cases illustrate the use of the Ascension PIP joint implant arthroplasty in the DIP joint position. The stem of the distal component is too wide to fit into the typical distal phalanx, but the proximal component stem will, and in selected cases, the implant will fit in this position if it is placed in a reversed proximal-distal position. These cases illustrate this technique - not as an endorsement, but as a demonstration of  technical feasibility. At one year, each  reconstructed joint was painless and had about 30 degrees range of motion.

 
Click on each image for a larger picture

   
Distal interphalangeal erosive osteoarthritis severe enough that the diagnosis of giant cell or other tumor was suspected. Fortunately, no tumor was encountered at surgery.
Click for larger image
 
Click for larger image
 
Click for larger image
 
Surgical procedure.
Click for larger image
 
Dorsolateral eponychial splitting incision. The black debris represents foreign body pencil lead debris from a childhood injury.
Click for larger image
 
Intraoperative fluoroscopy.
Click for larger image
 
Broach.
Click for larger image
 
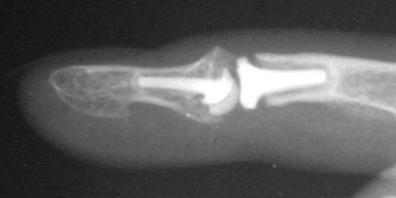
The trial implant sizer shows the true size of the implant. The final implant has a radiolucent coating  which makes it appear smaller than it is on Xray.
Click for larger image
 
Final implant radiographs.
Click for larger image
 
Click for larger image
 
The implant in place. The approach was similar to the bayonette exposure  demonstrated in  this case.
Click for larger image
 
6 months postop.
Click for larger image
 
Xrays one year out.
Click for larger image
 
Progressive PIP changes remain a problem.
Click for larger image
 
Second case.
This patient had previous experience with both DIP fusion and PIP arthroplasty.
Click for larger image
 
Click for larger image
 
Ring finger DIP joint of the opposite hand.
Click for larger image
 
Click for larger image
 
Intraoperative fluoroscopy using the same technique as above. The trial spacers:
Click for larger image
 
Click for larger image
 
The final implant:
Click for larger image
 
Click for larger image
 
Xrays one year out.
Click for larger image
 
Click for larger image
Search for...
interphalangeal joint arthroplasty
surface replacement arthroplasty

Case Examples Index Page e-Hand Home