Clinical Example: Pyrolytic carbon proximal interphalangeal joint implant arthroplasty reconstruction following trauma

Small joint arthoplasty has been an ongoing problem of hand surgery.  The delicate and anatomically precise joints of the fingers function within a very narrow tolerance of friction and mechanical balance of bone and soft tissue forces. Historically, rigid (metal and plastic) implants have failed because the mechanical mismatch at the bone-implant interface has resulted in implant displacement due to reactive bone remodelling. Flexible (silicone rubber) implants have failed because of implant breakage, erosive reaction to implant wear debris, and inability of flexible implants to provide rotational and lateral stability. 

Pyrolytic carbon implant arthroplasty of the finger joints appears to be an improvement on previous strategies, as it mimics the normal joint mechanics, lack of wear debris and a close match to the mechanical characteristics of the finger bones.


 
Click on each image for a larger picture

 
Pyrolytic carbon implants for proximal interphalangeal joints (above) and metacarpophalangeal joints (below). Another proximal interphalangeal joint post traumatic reconstruction is shown here and an example of metacarpophalangeal joint implants is posted here.
Click for larger image
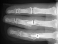
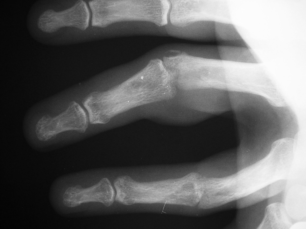
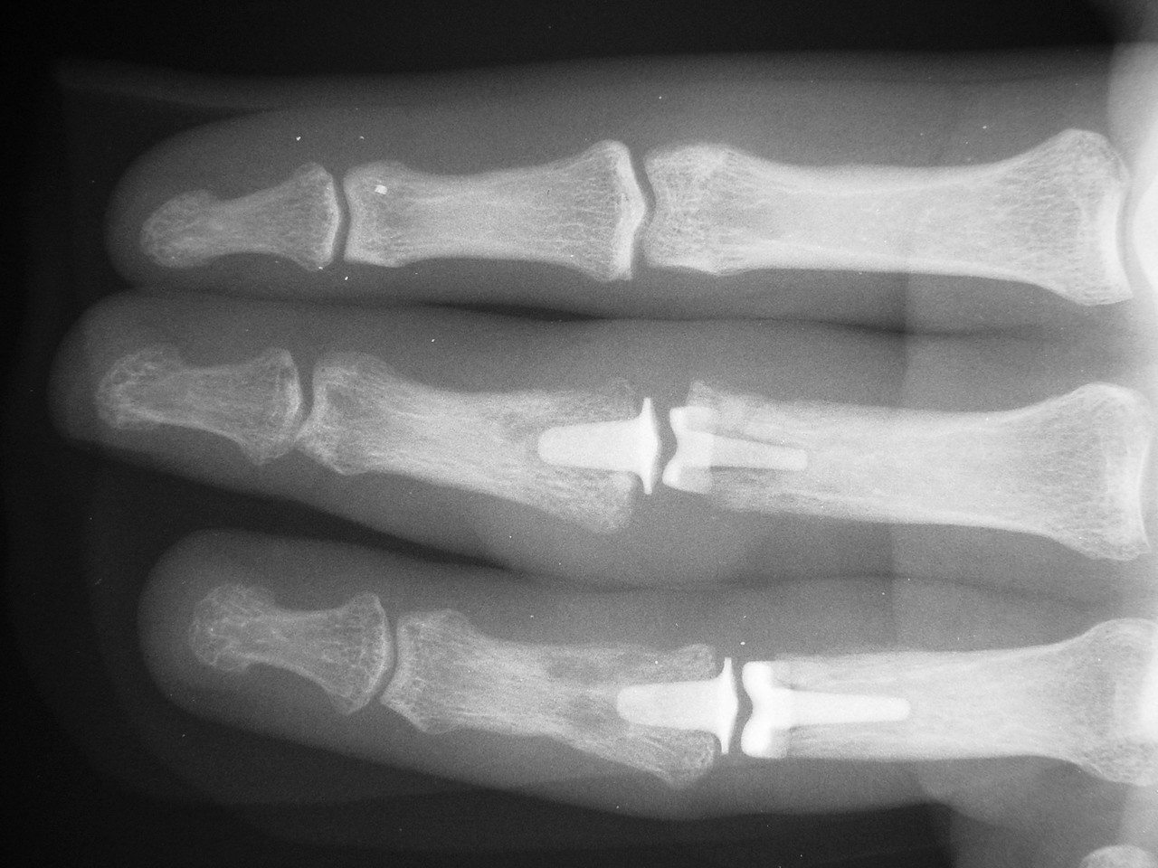
These are before and after radiographs of middle and ring proximal interphalangeal joints in a young man after a rotating blade injury resulting in dorsal bone and soft tissue loss. Initially treated elsewhere with K wire fixation, ring finger skin graft and abdominal flap reconstruction of the middle finger, he presented with instability, stiffness, pain and lateral angulation. Surgery was technically difficult because normal landmarks were distorted or missig. Despite complex bone and soft tissue loss,  stability was rendered in part by the restoration of concentric joint surfaces.

Lateral views:

Click for larger image
Correction of alignment.
Click for larger image
Anteroposterior views:
Click for larger image
Correction of lateral deviation.
Click for larger image
Search for...
interphalangeal implant arthroplasty
Case Examples Index Page e-Hand home