Clinical Example: Gas forming infection from parenteral drug abuse

Parenteral drug abuse leads to infectious complications in many patients due to the injection of unsterile particulate suspensions. Injected intravenously, these result in hematogenous infection, but when the abuser "misses" a vein and injects into the soft tissues, local abscesses may occur. The interesting question is why this does not happen every time that there is an injection mishap.

 
Click on each image for a larger picture

 
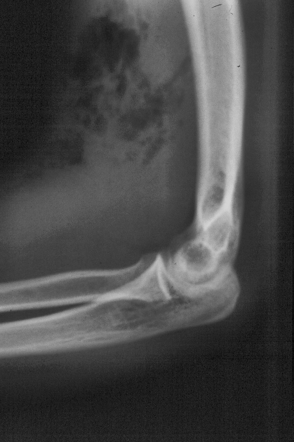
This patient presented with signs of systemic sepsis, antecubital swelling, pain and crepitation 36 hours after injecting but missing an antecubital vein. 
Click for larger image
Xrays confirmed multiple gas pockets in the soft tissues. The patient was treated with broad spectrum antibiotics, emergency debridement, delayed closure, and was free of infection until lost to followup three weeks later. 
Click for larger image
Search for...
gas forming infection
drug abuse infection
Case Examples Index Page e-Hand home