Clinical Example: Ulnar shortening osteotomy for ulnar impaction Essex-Lopresti syndrome

The Essex-Lopresti syndrome may develop after a proximal radial fracture such as a radial head fracture, excision of the radial head for fracture, or a displaced proximal radial shaft fracture.  The Essex-Lopresti syndrome results when such a fracture, associated with disruption of the forearm interosseous membrane, allows proximal migration of the radius with secondary problems arising at the distal radial ulnar joint.

When recognized early, the problem may be prevented or at least lessened by anatomic fracture fixation or by radial head replacement with a metal radial head implant.  

Late reconstruction is difficult because of chronic changes in the forearm architecture, and options include ulnar shortening, distal ulnar resection, or graft reconstruction of the interosseous membrane.  Each of these approaches has its own problems, and recurrence may develop after any of these procedures. Fresh frozen allograft has also been reported for this use, (click here for reference)  but long-term outcome studies are still pending.


 
Click on each image for a larger picture

 
This patient had undergone a radial head excision as primary treatment for his radial head fracture.
Click for larger image
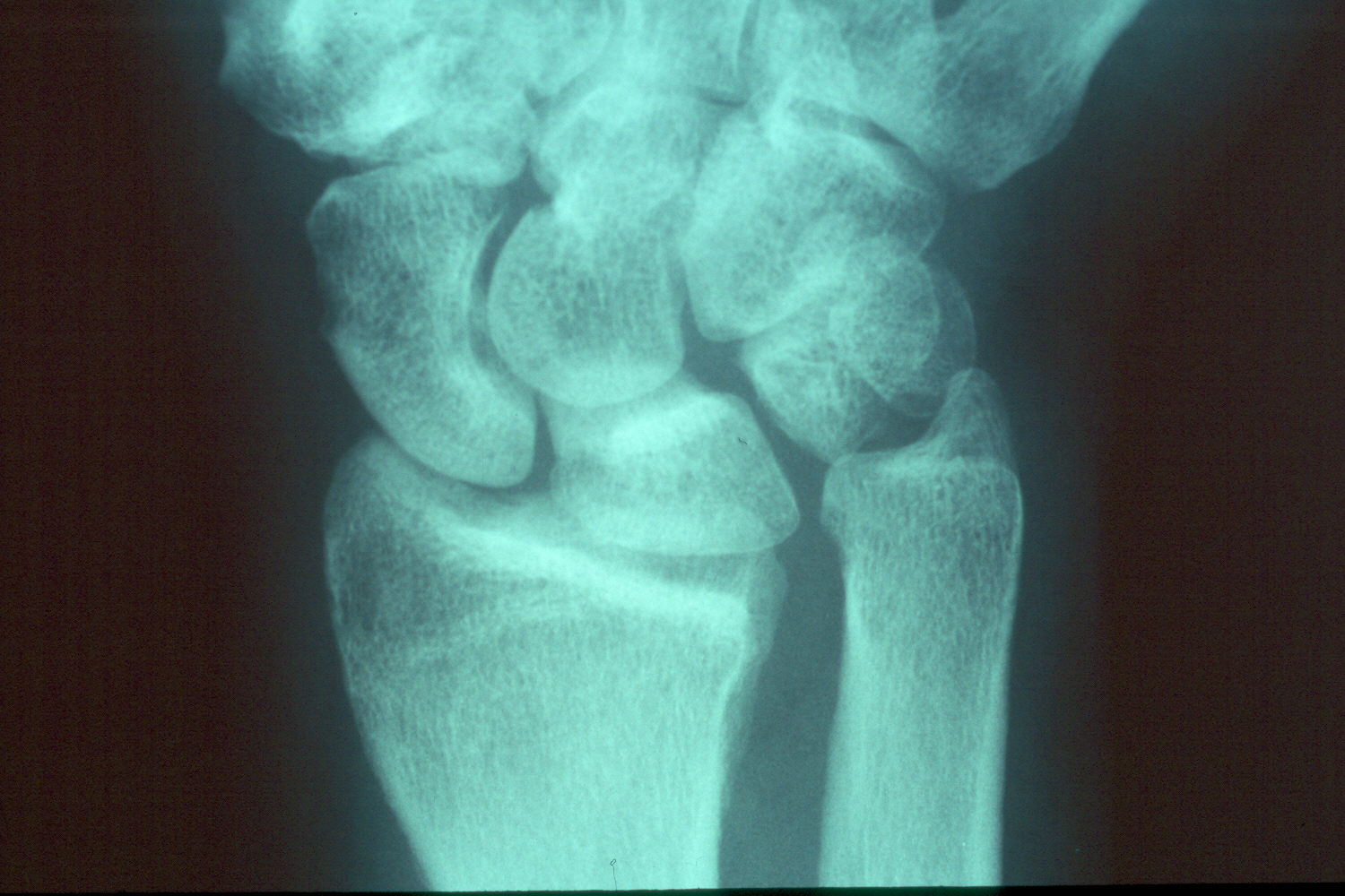
Prior radial head excision.
Click for larger image
In this case, a significant length of ulna was removed. A longitudinal groove was made in the ulna and marked with ink prior to oblique osteotomy to aid confirmation of alignment for fixation. 

As might be expected, the ends of the ulna could not be easily brought together.repositioning of the distal ulna segment required an extensive exposure as detailed in 

this other case.
Click for larger image
Final appearance of healed osteotomy.
Click for larger image
Restoration of normal ulnar length.
Click for larger image
Another view of the entire forearm.
Click for larger image
Search for...
Essex Lopresti
ulnar shortening osteotomy
proximal migration radius
ulnar impaction
Case Examples Index Page e-Hand Home