Clinical Example: Rheumatoid arthritis with DRUJ and radiocarpal involvement

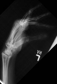
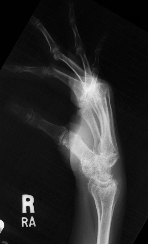
Rheumatoid arthritis has many forms of presentation. This patient has bilateral severe radiocarpal and distal radioulnar joint involvement, with relative sparing of the metacarpophalangeal and interphalangeal joints.

 
Click on each image for a larger picture

 
Note the spontaneous radiolunate fusion.
Click for larger image
Click for larger image
The radiolunate joint did not spontaneously fuse on this side, allowing a greater degree of ulnar translation of the carpus. Note the severe cystic carpal changes.
Click for larger image
Click for larger image
Search for...
rheumatoid wrist
radiolunate fusion
Case Examples Index Page e-Hand Home