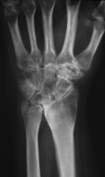
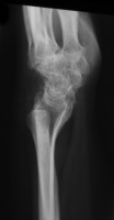
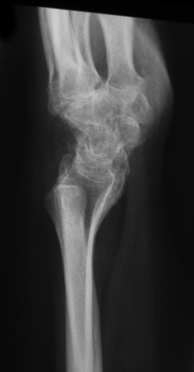
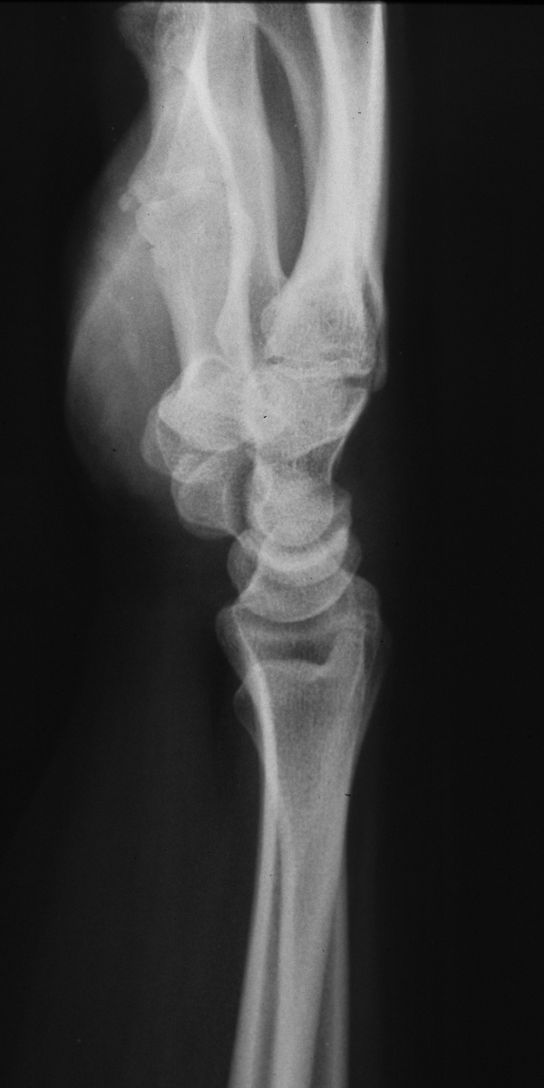
| This woman in her 30's presented with left wrist pain and was found to have inflammatory osteoarthritic changes throughout her wrist, distal radioulnar joint and thumb basal joint. Blood tests were normal, including rheumatoid factor, antinuclear antibody, sedimentation rate, uric acid, and complete blood count. She was treated with nonsteroidal oral antiinflammatory medication and splints. |
| Click on each image for a larger picture |
| Initial Films: |

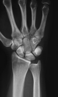
| She had progressive deterioration over two years with worsening pain and instability. |


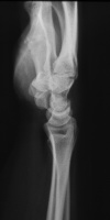
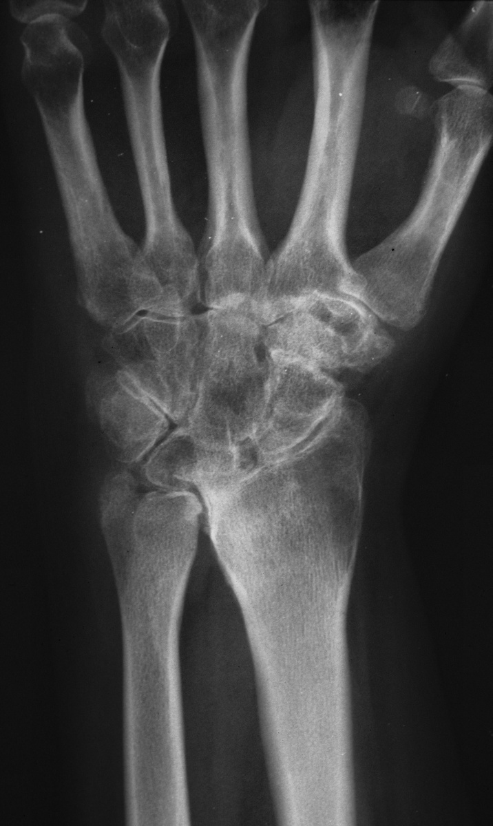
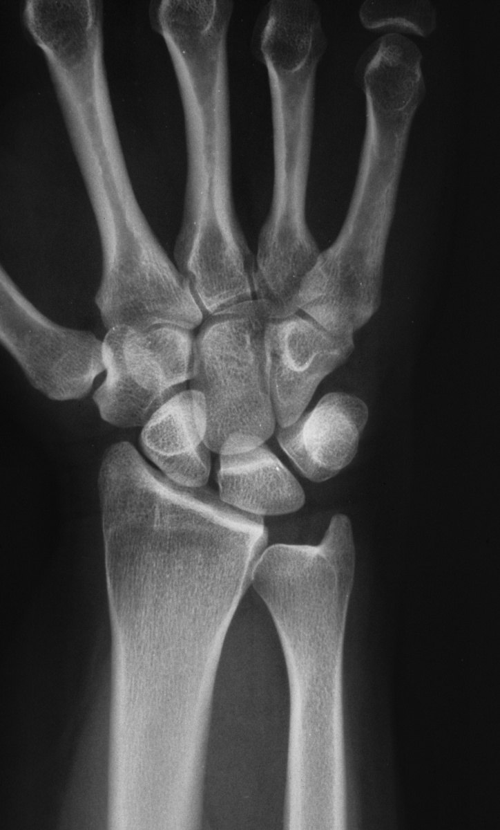
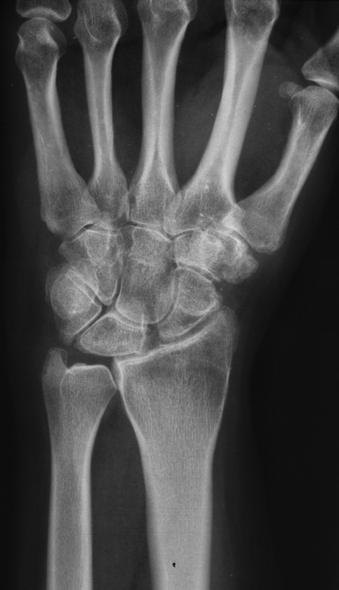
| Opposite side, asymptomatic: |


| Eventually, she was treated with wrist fusion, distal ulnar resection and extensor carpi ulnaris tenodesis, and basal joint excision arthroplasty with split abductor pollicis longus anchovie interposition and ligament reconstruction - all through a single dorsal approach.: |



|
Search for... Inflammatory Arthritis
|
Case Examples Index Page | e-Hand home |