Clinical Example: Hook of hamate nonunion excision

Hook of hamate fractures are prone to nonunion, and their diagnosis is frequently delayed or missed. Cronic nonunions may result in flexor tendon rupure and other complications. Treatment for most patients is excision of the small fracture fragment. 

 
Click on each image for a larger picture

 
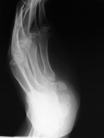
This chronically painful nonunion was not visible on PA, lateral and oblique films, but can be seen clearly on this supinated oblique hamate hook view:
Click for larger image
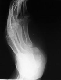
and on this slightly different angle of the same view
Click for larger image
Incision, directly over the prominence of the hook
Click for larger image
Hook exposed. The ulnar artery and nerve are retracted radially.
Click for larger image
Hook excised.
Click for larger image
Fibrous white nonunion tissue is visible at the base.
Click for larger image
Search for...
hamate hook excision
hamate hook fracture
Case Examples Index Page e-Hand Home