Clinical Example: Basal joint arthritis

Thumb basal joint arthritis is a common condition which often affects both hands. It is painless in some people, but others have great difficulty because of pain and weakness of pinch. Over time, the thumb may draw into the palm and be compensated by stretching and hyperextending the adjacent metacarpophalangeal joint.

 
Click on each image for a larger picture

 
Typical posture of adducted thumbs, swelling more obvious on the patient's left hand.
Click for larger image
Adduction of the metacarpal and hyperextension of the metacarpophalangeal joint.
Click for larger image
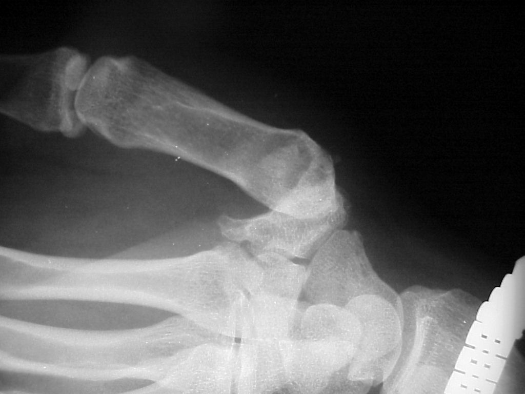
Advanced degenerative changes of the joint: loss of joint space, subchondral sclerosis, large osteophyte, erosions, all with preservation of the adjacent joints.
Click for larger image
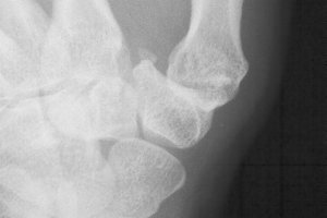
Another thumb, similar changes.
Click for larger image
Before surgery, subluxation of the metacarpal base:
Click for larger image
Same thumb after surgery, the reconstructed joint visible as an even space around the metacarpal base.
Click for larger image
Bilateral hand involvement is common, although the most painful thumb may not be the one with the worst Xray.
Click for larger image
Another patient.
Click for larger image
And another..
Click for larger image
And another...
Click for larger image
Another xray before surgery
Click for larger image
and after surgery.
Click for larger image
And another patient with the metacarpal adducted and hyperextension of the metacarpophalangeal joint.
Click for larger image
Search for...
basal joint arthritis
basal joint arthroplasty
thumb carpometacarpal arthritis
Case Examples Index Page e-Hand home