Clinical Example: Midcarpal instability following distal scaphoid excision

Distal scaphoid excision is gaining popularity as a treatment of scaphoid nonunion. It requires the strong radioscaphoid and radioscapholunate ligaments to maintain support of the remaining proximal carpus. In this case, the proximal carpus was destabilized by the effect of radial stylidectomy on these ligaments.

 
Click on each image for a larger picture

 
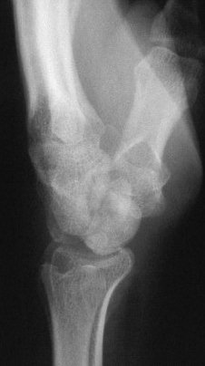
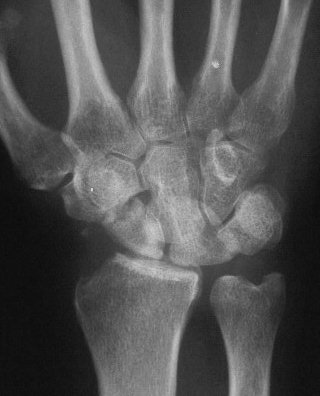
Clinically and by bone scan, this patient sustained a scaphoid fracture, but obviously had a preexisting distal pole cyst.
Click for larger image
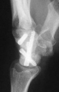
Intraoperatively, the distal pole cyst was eggshell thin with comminution into the ST joint. Stable fixation was not possible, even with a radial
styloid bone graft, and the distal pole was excised. Postoperatively, carpal instability was present.
Click for larger image
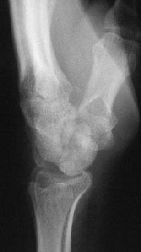
This progressed...
Click for larger image
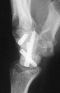
Carpal tunnel developed and progressively worsened, probably related to the palmar prominence of the lunate. The patient underwent carpal
tunnel release and midcarpal fusion and returned to heavy manual work.
Click for larger image
Click for larger image
Search for...
midcarpal instability
distal scaphoid excision
midcarpal arthrodesis
Case Examples Index Page e-Hand home