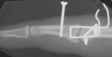
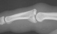
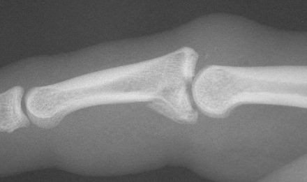
Clinical Example: PIP fracture dislocation treated with force couple splint

Proximal interphalangeal joint fracture dislocation is a common and difficult injury. There are many possible treatment techniques. Here, the force couple splint method was used.

 
Click on each image for a larger picture

 
Click for larger image
Click for larger image
Click for larger image
Click for larger image
Click for larger image
Click for larger image
Click for larger image
Click for larger image
Click for larger image
Search for...
proximal interphalangeal fracture dislocation
force couple splint
Case Examples Index Page e-Hand home