Clinical Example: Thumb reconstruction with dorsal metacarpal flap and bone graft

Click on each image for a larger picture

 
Circumferential router injury...
Click for larger image
Click for larger image
Click for larger image
Click for larger image
Flap design.
Click for larger image
Flap pedicle.
Click for larger image
Transferred, ready to cover the bone graft and hardware.
Click for larger image
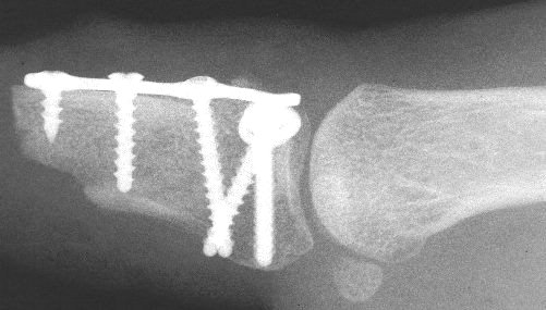
Late Xrays.
Click for larger image
Click for larger image
Late result.
Click for larger image
Click for larger image
Click for larger image
Click for larger image
Click for larger image
Search for...
dorsal metacarpal flap
osteoplastic thumb reconstruction
Case Examples Index Page e-Hand home