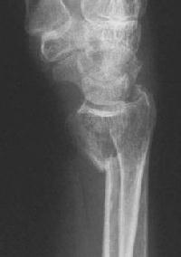
Clinical Example: Distraction plate fixation of distal radius fracture


 
Click on each image for a larger picture

 
Click for larger image
Click for larger image
Search for...
distal radius fracture
distraction plate
Case Examples Index Page e-Hand home