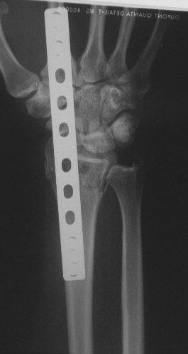
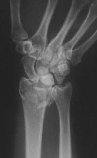
Clinical Example: Distraction plate fixation of distal radius fracture


 
Click on each image for a larger picture

 
Click for larger image
Click for larger image
Click for larger image
Click for larger image
Click for larger image
Click for larger image
A tricky case, for the patient previously had a large skin graft over the dorsal metacarpus / wrist / forearm. Incisions are marked here just before the plate was removed.
Click for larger image
Search for...
distal radius fracture
distraction plate
Case Examples Index Page e-Hand home