Clinical Example: Thumb metacarpal distraction lengthening

Distraction lengthening of the thumb metacarpal is an alternative in thumb reconstruction suitable for subtotal amputation then the basal joint and thenar muscles are still present.
 
 
Click on each image for a larger picture
 
 
The initial lawnmower injury.. 
Click for larger image
Treated with completion of the thumb amputation, external fixation of the distal radius fracture and primary metacarpophalangeal arthrodesis of the fingers.
Click for larger image
Following this, the thumb soft tissue cover was inadequate and was augmented with a groin flap.
Click for larger image
The thumb was lengthened over a period of six weeks with an external fixator.
Click for larger image
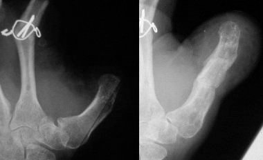
Xrays at the beginning and end of the distraction process.
Click for larger image
Initial and final result, with an intercalated bone graft.
Click for larger image
Interim result. Flap debulking has since been performed.
Click for larger image
Click for larger image
Excellent pinch strength.
Click for larger image
Search for...
metacarpal lengthening
thumb reconstruction
metacarpal distraction
Case Examples Index Page e-Hand home