Clinical Example: Reduction of Locked Metacarpophalangeal Joint

Locked metacarpophalangeal joints are uncommon. The most common anatomic pathology is entanglement of a collateral ligament on an osteophyte at the base of the proximal phalanx. Most often this occurs spontaneously during use. In most instances, closed reduction is possible. Open reduction may be necessary
Click on each image for a larger picture


This 75 year old healthy woman had a sudden event reaching into a drawer two days ago. Since then, she could not straighten her middle MCP.
Highslide

Highslide
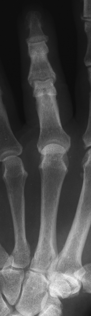
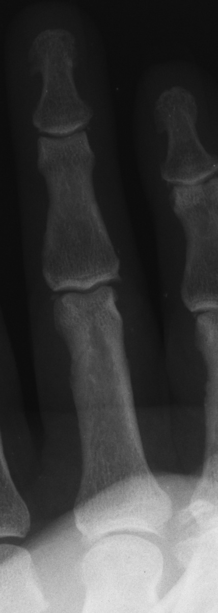
Standard AP Xrays were unremarkable.
Highslide
However, an AP view with the proximal phalanx flat against the plate perpendicular to the beam shows prominent proximal phalanx osteophytes, one of which has caught one of the collateral ligaments.
Highslide
Closed manipulation was performed with a median nerve block, rotating the proximal phalanx through pronation and supination while applying longitudinal distraction in the direction of the deformity. Click on the image below for a video of the reduction.

Search for...
locked metacarpophalangeal joint
Case Examples Index Page e-Hand home