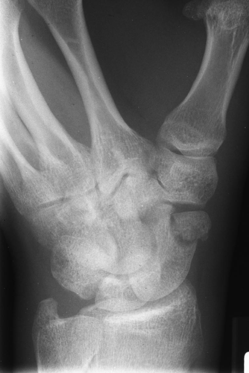
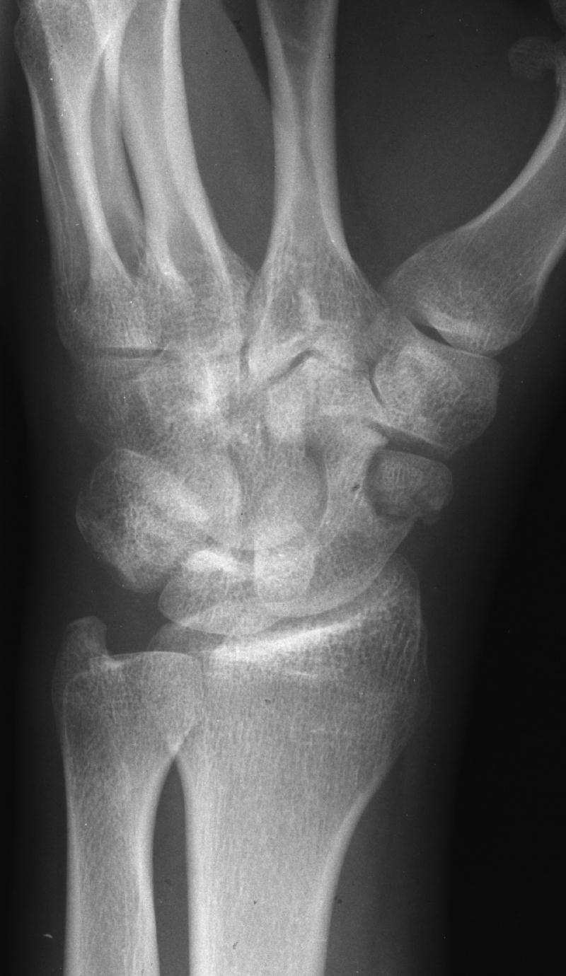
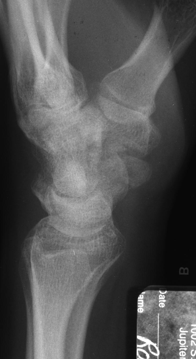
Clinical Example: Scaphoid Tubercle Fracture


 
Click on each image for a larger picture

   
Click for larger image
 
Click for larger image
 
Click for larger image
 
Click for larger image
Search for...
scaphoid tubercle fracture

Case Examples Index Page e-Hand home