Clinical Example: Revision scaphoid nonunion with hardware removal, bone graft and two Herbert screws

Despite improvements in hardware and technique, nonunion may occur following open reduction and internal fixation of scaphoid fractures. Nonunion is most often related to preoperative (vascular), intraoperative (technical), or postoperative (compliance) issues. Untreated scaphoid nonunion is reported to result in a high incidence of posttraumatic arthritis ("SNAC Wrist"). Revision surgery is indicated and worthwhile if the etiology of nonunion is identified and addressed.

 
Click on each image for a larger picture

   
This 19 year old had been treated elsewhere with an accutrac screw for a displaced scaphoid fracture. He was noncompliant with immobilization after surgery, and developed a painful nonunion.
Click for larger image
 
Click for larger image
 
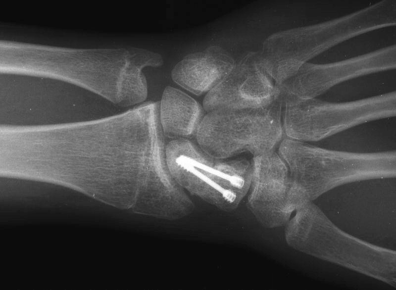
The nonunion was reconstructed by removing the hardware, iliac bone graft and two Herbert screws placed through new paths. Cancellous bone was packed into the old screw hole.
Click for larger image
 
Click for larger image
 
Healed.
Click for larger image
 
Click for larger image
 
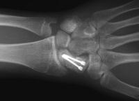
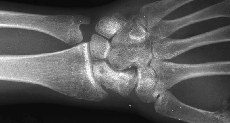
The patient requested hardware removal prior to enlisting for military duty. Final films.
Click for larger image
 
Click for larger image
Search for...
scaphoid nonunion
scaphoid vascularized bone graft
revision scaphoid nonunion

Case Examples Index Page e-Hand home