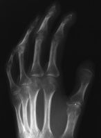
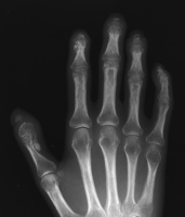
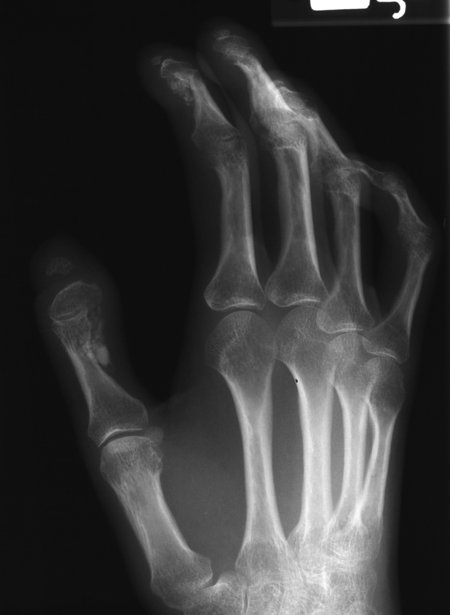
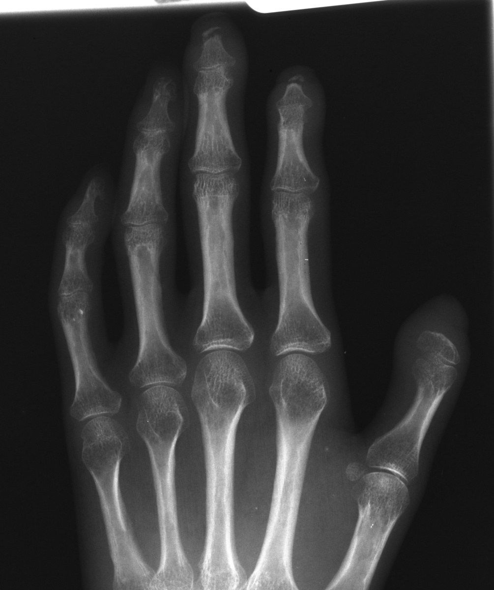
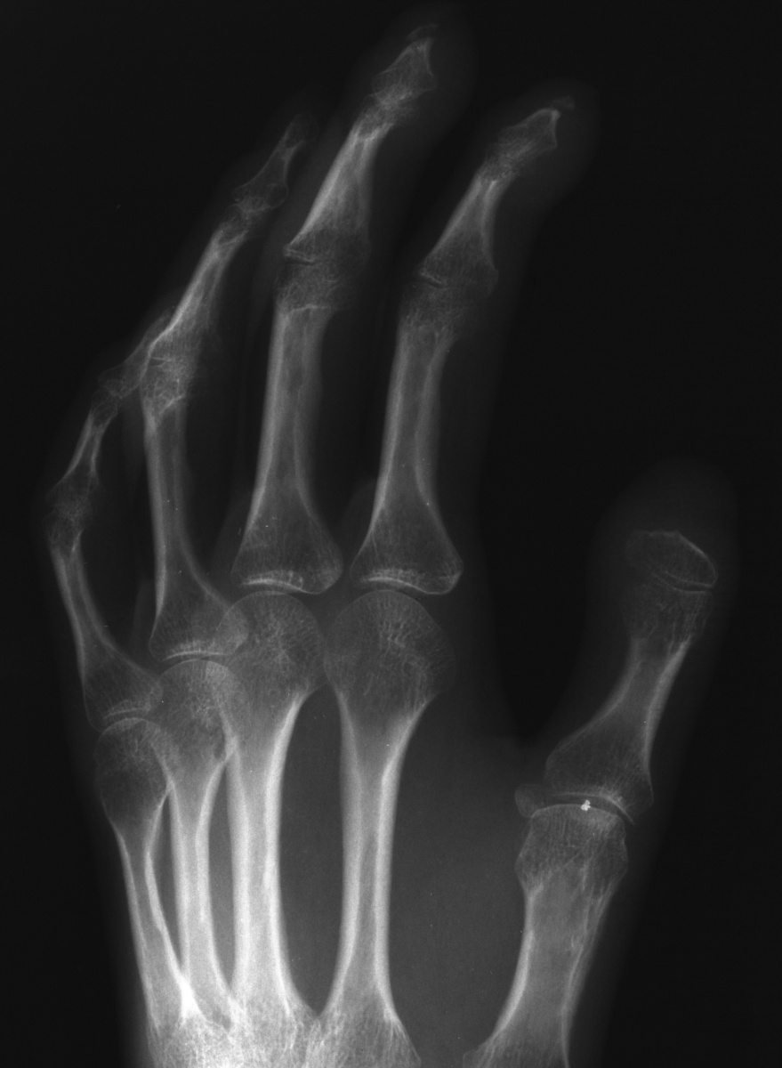
Clinical Example: Scleroderma, Calcinosis and Acroosteolysis

Scleroderma is a polymorphic condition , variably associated with a variety of conditions including joint stiffness, subcutaneous calcification and acroosteolysis. This patient with scleroderma demonstrates all of these conditions. This is most commonly associated with the finding of anticentromere antibodies.
Click on each image for a larger picture



Highslide

Highslide

Highslide

Highslide

Highslide

Highslide

Highslide

Highslide
Search for...
scleroderma osteolysis
acroosteolysis

Case Examples Index Page e-Hand home