Clinical Example: Transcondylar distal humerus fracture repaired with Herbert screws

Transcondylar distal humerus fractures are usually high energy comminuted difficult fractures, technically difficult to manage. Anatomic reduction, rigid fixation and early motion are desirable, if technically possible. There are a variety of techniques for fixation. Here, Herbert screws were used to secure the two central purely osteochondral fracture fragments to each other and to the proximal humerus.

 
Click on each image for a larger picture

 
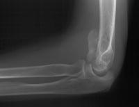
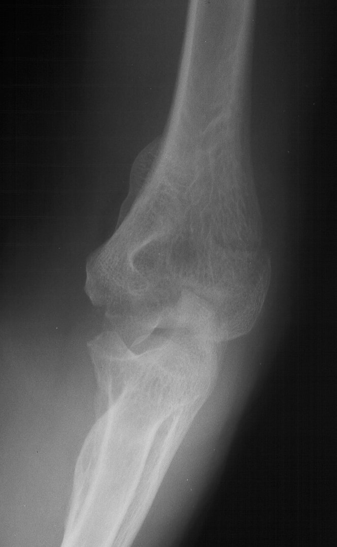
81 year old physically active woman sustained a left elbow fracture in a syncope related fall.
Click for larger image
Lateral and central fracture component displacement.
Click for larger image
Click for larger image
Unusual contour visible at the medial metaphyseal flare. 
Click for larger image
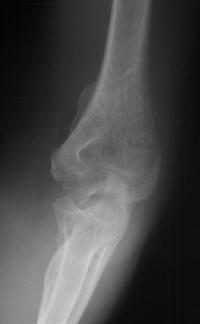
This is seen on the lateral view to be the anterior half of the central articular surface.
Click for larger image
This is the fracture pattern: lateral and central column - Anterior view:
Click for larger image
The central column is additionally split into an anterior (blue) and posterior (green) fracture fragments.
Click for larger image
View from below.
Click for larger image
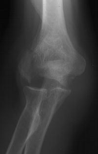
Lateral view.
Click for larger image
Open reduction via olecranon osteotomy.  The ulnar nerve is  retracted with a penrose drain. The articular surface was reconstructed, then secured to the shaft. After recovering the rotated anterior articular fragment, the anterior and posterior halves of the central articular component were secured with .062" pins. These pins were replaced one at a time with Herbert screws.
Click for larger image
Later in the case, the small medial osteochondral fragment was secured with absorbable sutures (not shown).
Click for larger image
In similar steps, the reconstructed central articular component was secured to the proximal humerus with pins. Once satisfactory reduction was obtained (not yet, as seen here...), the pins were replaced by more Herbert screws. This allowed fixation of the purely osteochondral segments without prominent harware.
Click for larger image
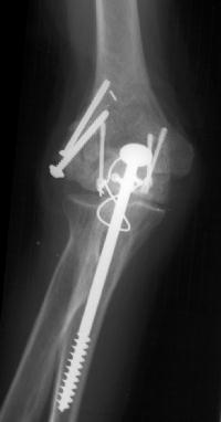
Screws were secured from the central articular component to the more proximal humeral cortices.
Click for larger image
These provided biplanar fixation, eventually with two screws in each direction.
Click for larger image
The lateral column was then secured with two cannulated screws.
Click for larger image
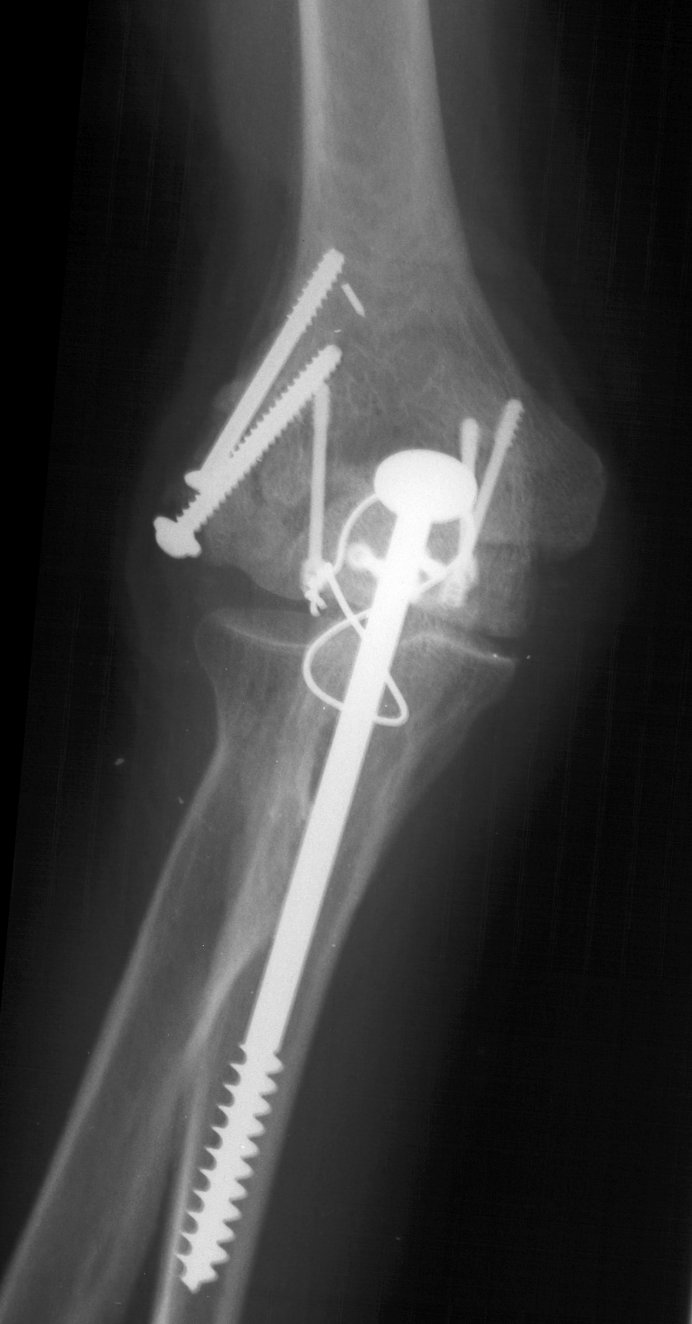
The olecranon osteotomy was closed with a 6.5 mm lag screw and (belt and suspenders) tension band technique.
Click for larger image
Anatomic reduction.
Click for larger image
Click for larger image
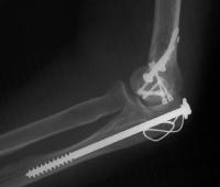
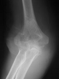
She began immediate protected motion and discontinued splint use at two weeks, despite recommendations to the contrary. These films are two months postop:
Click for larger image
Lateral column not yet fully consolidated on Xray, but clinically healed.
Click for larger image
Flexion:
Click for larger image
Extension:
Click for larger image
Two months postop, standing in front of the same office door:
Click for larger image
Click for larger image
Click for larger image
Click for larger image
Search for...
transcondylar elbow fracture
Case Examples Index Page e-Hand Home