Clinical Example: Capitellar fracture nonunion excision


 
Click on each image for a larger picture

 
Initial injury: supracondylar fracture in a 9 year old: 
Click for larger image
Click for larger image
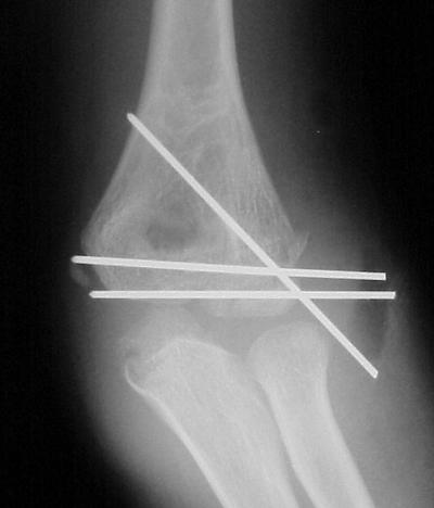
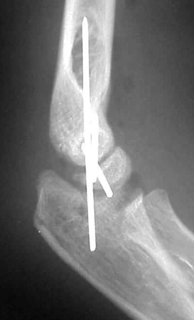
Open reduction and fixation:
Click for larger image
Click for larger image
Five years later, he has limited motion (E/F 35/100) and painful clicking with elbow flexion and extension.
Click for larger image
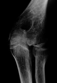
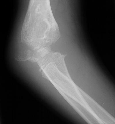
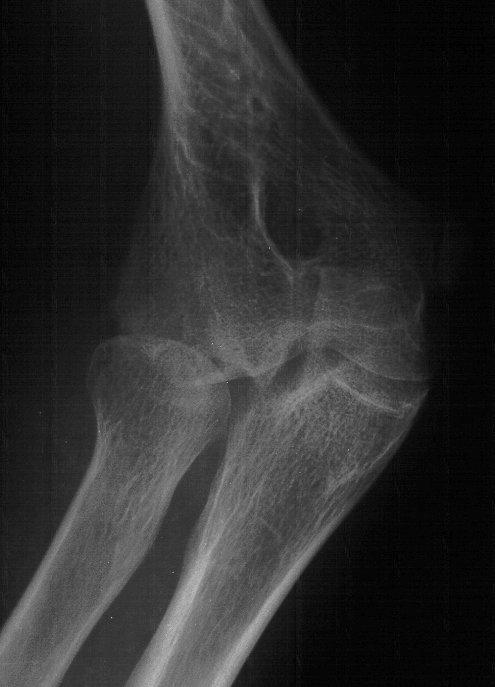
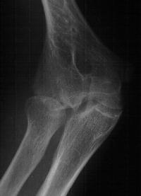
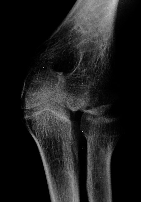
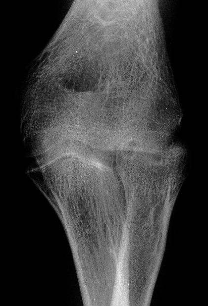
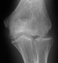
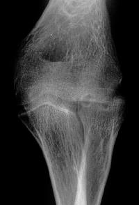
Plain films show humeral osteophytes and posttraumatic changes of the capitellum and radial head.
Click for larger image
Click for larger image
Click for larger image
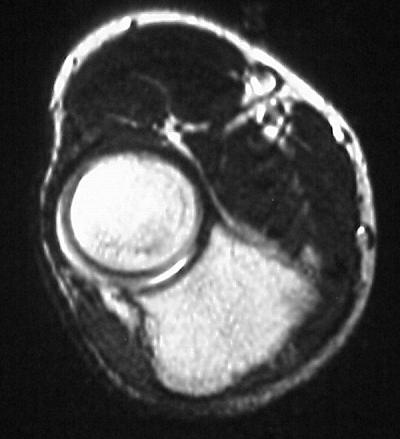
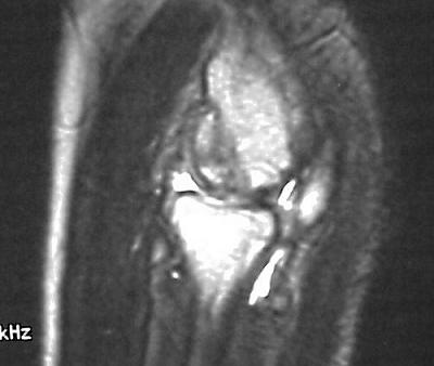
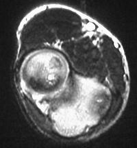
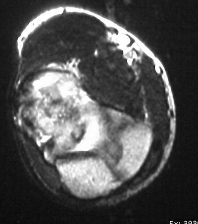
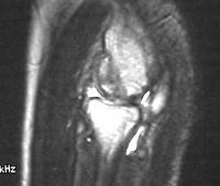
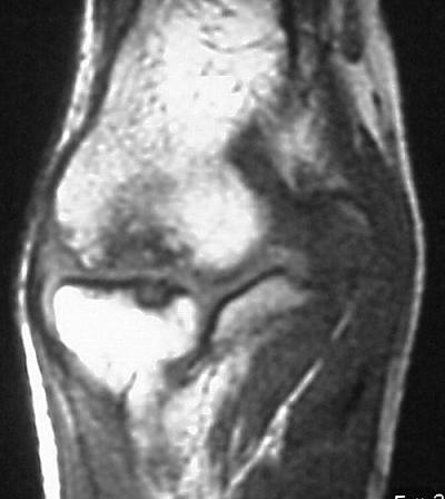
MRI shows an osteochondral sequestrum of the anterior capitellum: 
Click for larger image
Click for larger image
Click for larger image
Click for larger image
Click for larger image
Click for larger image
Click for larger image
Click for larger image
Click for larger image
Treatment options? Do nothing, Open reduction and bone graft, sequestrum excision or radial head excision. In this case, at surgery, the loose articular fragment was too thin to allow reliable fixation, and was simply excised.
Click for larger image
Postoperatively, pain is improved, although some clicking persists. Range of motion is marginally improved. Radial head excision remains an option if he has painful problems later.
Click for larger image
Click for larger image
Click for larger image
Click for larger image
Search for...
capitellar fracture
capitellum nonunion
Case Examples Index Page e-Hand Home