Clinical Example: Double blade plating recalcitrant metacarpal nonunion

Metacarpal fractures are common injuries. Metacarpal fracture nonunions are uncommon because of the support provided by adjacent metacarpals, but can be a difficult problem following high energy trauma. This series of pictures document the difficulty of treating a middle metacarpal nonunion following a gunshot injury.

 
Click on each image for a larger picture
 
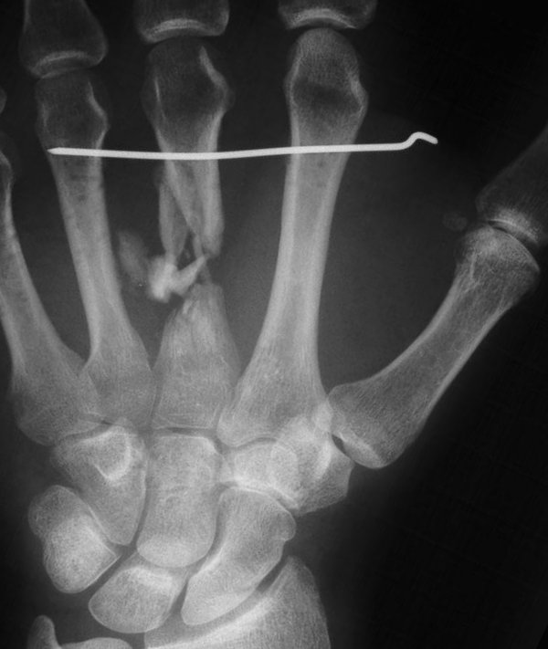
The injury: point blank handgun injury, palmar to dorsal through the middle metacarpal. Contusion of the third web space common digital nerve.
Click for larger image
Click for larger image
The treating surgeon debrided the wound and maintained length with intermetacarpal pins. When the wound was stable, the fracture was treated with bone graft, plate and screws.
Click for larger image
He did well for three months, then broke his plate:
Click for larger image
Click for larger image
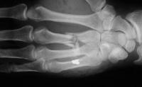
The plate was removed, and the fracture was replated, using more bone graft and larger screws. This plate  held for five months, then also broke. Additionally, a cross union to the ring metacarpal can be seen:
Click for larger image
At this point, I took over his care. 
Click for larger image
I believed that the nonunion was due to the combined effects of an avascular wound bed, segmental sclerotic bone, and the mechanical effect of cross union transferring force from the ring metacarpal to the distal metacarpal segment. I removed the broken plate,
Click for larger image
debrided the sclerotic fracture site, took down the cross union,  interposed a second web space interosseous muscle flap to prevent recurrent synostosis, and used an iliac crest segmental graft carved with intramedullary dowel extensions.
Click for larger image
I used the Synthes modular hand set, which has screw intervals different than the small fragment set.
Click for larger image
 This was the longest plate available, not optimum, but had six cortex purchase on each side of the graft.
Click for larger image
This looked favorable initially,
Click for larger image
but began to pull out at six weeks.
Click for larger image
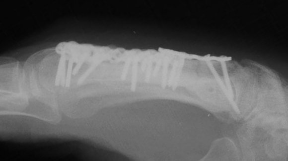
I removed this hardware, and used two mini condylar blade plates at right angles to resecure the distal bone juncture. This allowed more distal purchase while avoiding hardware placement beneath the metacarpal head extensor hood. I replated the proximal bone juncture although it looked clinically healed - not worth taking a chance. 
Click for larger image
Final result, eight months postop, healed:
Click for larger image
Healed.
Click for larger image
And clinically, not normal, but doing well considering what he has been through.
Click for larger image
Click for larger image
A similar gunshot metacarpal injury can be seen here.
Search for...
metacarpal nonunion
metacarpal gunshot
double plating
Case Examples Index Page e-Hand Home