Clinical Example: Bone Allograft Salvage Infected Swanson Wrist Arthroplasty for Rheumatoid

Rheumatoid arthritis of the wrist presents a dilemma:
  • Barring complications, patients are more satisfied with wrist arthroplasty than arthrodesis.
  • Bilateral involvement is common, multiplying the effect of choice of procedure.
  • Rheumatoid bone stock is poor, dramatically increasing the risk of wrist implant arthroplasty failure.
  • Wrist arthrodesis with intercalated bone graft is a recognized salvage for failed wrist arthroplasty.
  • In rheumatoid patients, allograft may have better quality than iliac crest autograft.
This case demonstrate the use of fresh frozen femoral head allograft, plate fixation augmented with cerclage in a salvage procedure for failed wrist arthroplasty for rheumatoid arthritis.
Click on each image for a larger picture


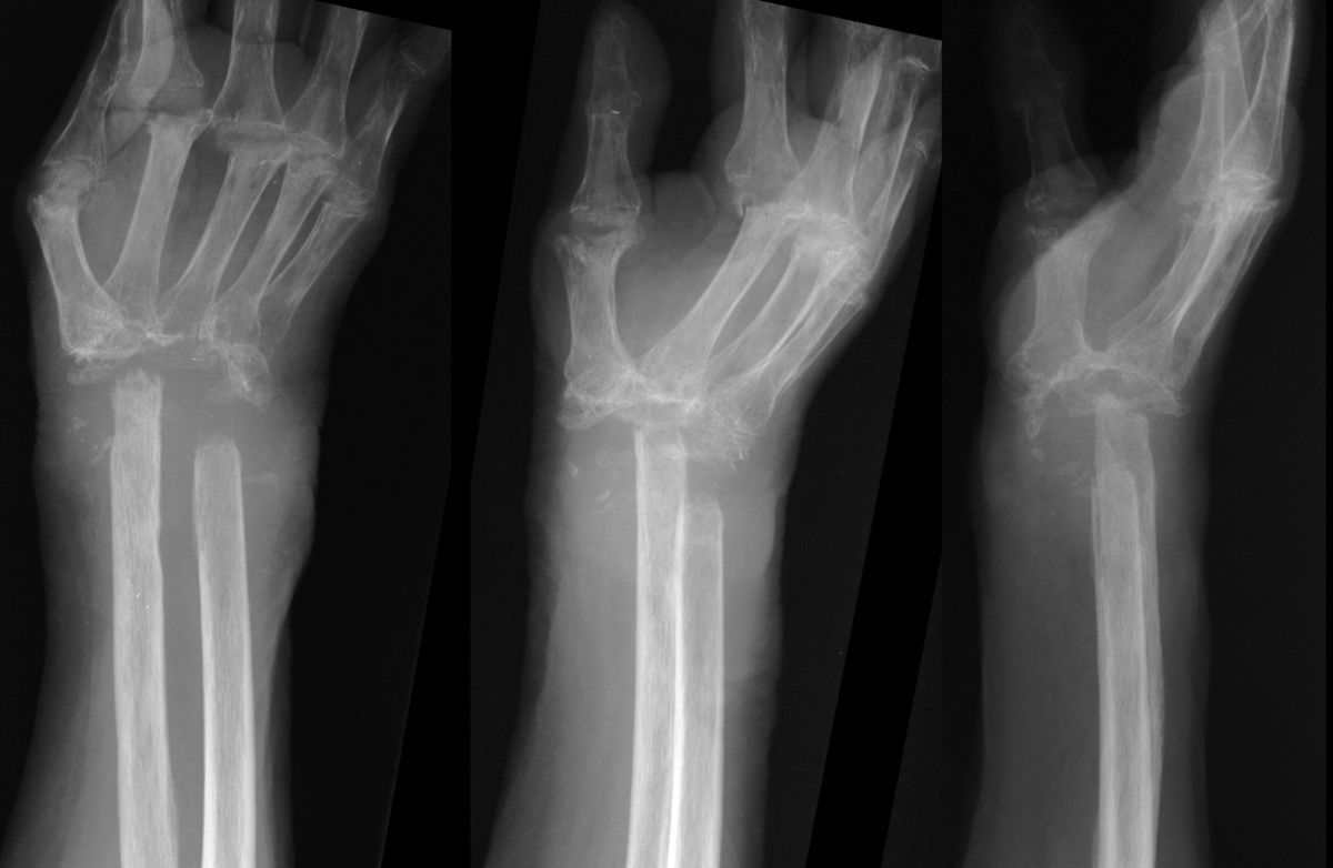
This senior woman presented with wrist swelling. She had been previously managed elsewhere with a Swanson flexible wrist arthroplasty, complicated by infection, which was treated with implant removal. She had done well for the last four years, but recently had swelling and tenderness of the wrist. Xrays showed a flail wrist with radiometacarpal impingement:
Highslide
She was treated with splinting, and responded well. However, she returned four months later with a draining sinus from the distal ulna and evidence of osteomyelitis.
Highslide
She was treated with radical resection of the infected bone. Intraoperative cultures grew out normal skin flora and she received 6 weeks of appropriate intravenous antibiotics.
Highslide
There was no cinical evidence of residual infection. She maintained a functional range of motion from her pseudoarthrosis and did not wish to have any more surgery.
Highslide
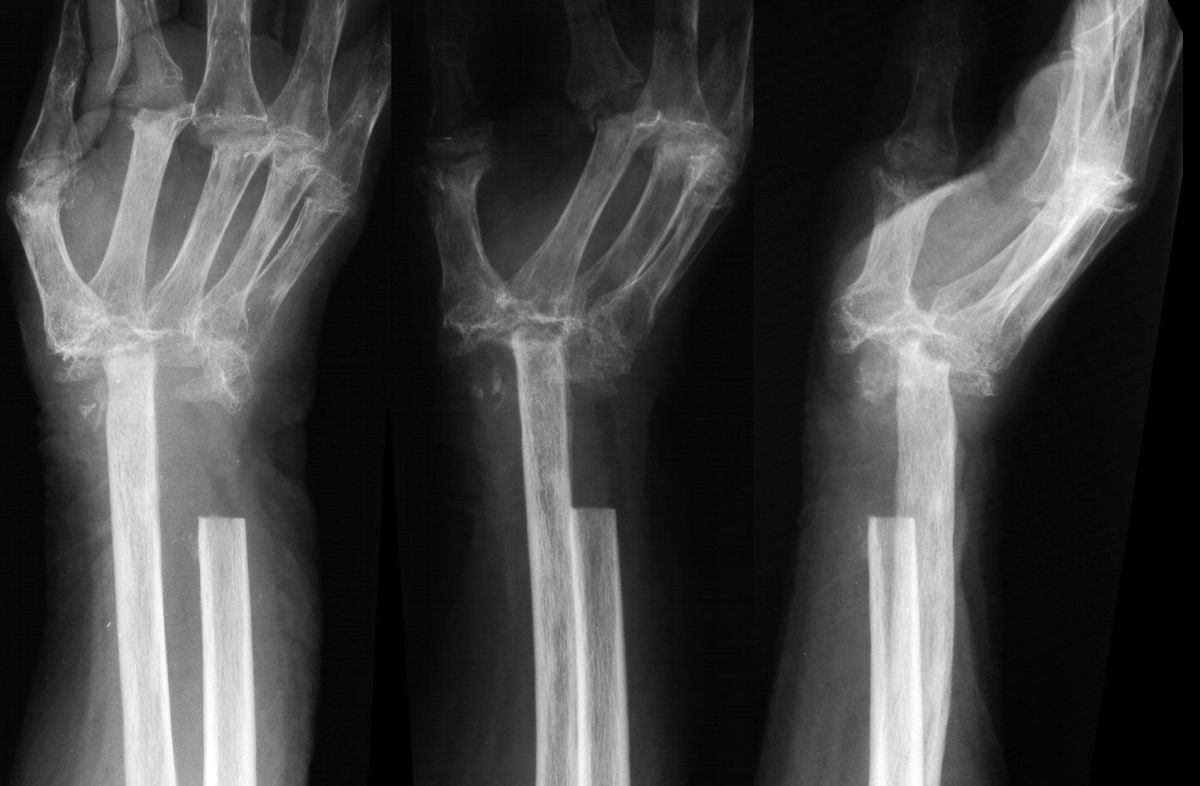
Four years later, she complained of wrist instability, and xrays confirmed intermittent radiometacarpal dislocation.
Highslide
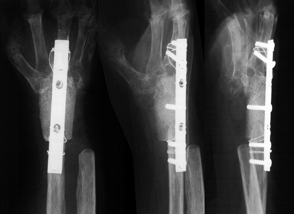
She was treated with wrist arthodesis, using a sculpted fresh frozen femoral head allograft and a cerclage reinforced plate and screw fixation.
Highslide
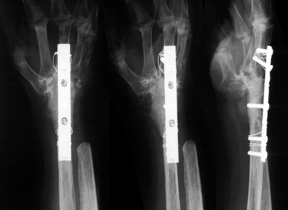
Late result, showing graft incorporation and remodelling.
Highslide
Search for...
Swanson Wrist Arthroplasty
Femoral Head Allograft
Rheumatoid Wrist Arthroplasty

Case Examples Index Page e-Hand home