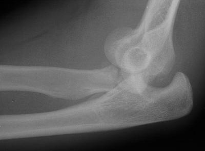
Clinical Example: Elbow fracture dislocation with soft tissue coronoid reconstruction

Elbow fracture dislocations present a variety of problems. Instability with recurrent anterior subluxation can arise when the injury destroys both the radial head and the coronoid buttress. In this case, the patient sustained an elbow fracture-dislocation with a comminuted radial head fracture and 50% coronoid fracture. 

 
Click on each image for a larger picture

 
Injury:
Click for larger image
Initial reduction, elsewhere. 
Click for larger image
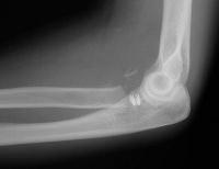
Redisplaced 2 days later:
Click for larger image
Radial head excision and coronoid soft tissue attachment reinsertion with bone anchors:
Click for larger image
Remodelling, heterotopic ossification and posttraumatic joint changes two years postoperative, but no instability:
Click for larger image
Search for...
coronoid fracture
elbow fracture dislocation
Case Examples Index Page e-Hand Home