
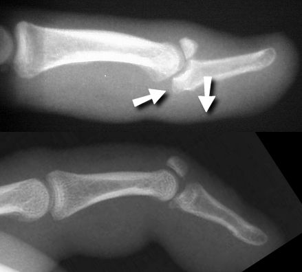
Figure Legend: Mallet fractures in which
the smaller fracture fragment includes half or more of the joint surface
may be unstable, resulting in palmar subluxation of the distal phalanx
(top). However, this is not always the case, and the joint may remain
stable despite a large avulsion fragment (bottom).
| e-Hand | Go Back | Search | Textbook |