
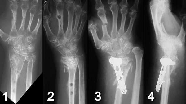
Figure Legend: Complications of external
fixation. External fixers used for distal radius fracture fixation
may result in sensory nerve injury and symptomatic neuroma, pin tract infections,
osteomyelitis and fracture through the pin site. (1) Healed index
of metacarpal fracture following external fixation in a patient with osteogenesis
imperfecta. (2) Pin loosening and periosteal reaction in another
patient. (3,4) Index metacarpal fracture through pin site and complete
loss of reduction in another patient.
| e-Hand | Go Back | Search | Textbook |